Сетевое научное издание
Современные проблемы науки и образования
ISSN 2070-7428
"Перечень" ВАК
ИФ РИНЦ = 0,936

ОСТРЫЙ СЕРОЗНЫЙ ГЕМОРРАГИЧЕСКИЙ СРЕДНИЙ ОТИТ КАК НЕТИПИЧНАЯ ПРИЧИНА АКУШЕРСКОГО СЕПСИСА

Пимахина Е.В. 1 Севрюков А.В. 1 Авачева Т.Г. 1 Ершов Н.Г. 1
1 ФГБОУ ВО РязГМУ
Пимахина Е.В. - разработка концепции, работа с данными, анализ данных, привлечение финансирования, проведение исследования, методология исследования, научное руководство, валидация результатов, написание черновика рукописи, написание рукописи – рецензирование и редактирование
Севрюков А.В. - анализ данных, написание черновика рукописи
Авачева Т.Г. - работа с данными, анализ данных, привлечение финансирования, методология исследования, предоставление ресурсов, визуализация результатов
Ершов Н.Г. - анализ данных, привлечение финансирования, методология исследования, валидация результатов, визуализация результатов
Цель работы: описать и проанализировать клинический случай сепсиса и септического шока у беременной женщины на 16-й неделе гестации, обусловленного редким, экстрагенитальным источником инфекции-острым левосторонним серозно-геморрагическим средним отитом; выявить патофизиологических особенности и факторы генерализации инфекции, оценить диагностические и тактические трудности, а также актуализировать необходимость междисциплинарного подхода при ведении подобных пациентов. Несмотря на достижения в интенсивной терапии и антибактериальной терапии, акушерский сепсис остается одной из наиболее распространенных причин материнской смертности во всем мире. В данном клиническом случае описывается крайне редкий и трагический случай сепсиса у беременной женщины на 16-й неделе беременности, вызванный осложненным острым средним отитом — нетипичным источником инфекции, ранее не описанным в акушерстве. Первоначально пациентке был поставлен диагноз острого левостороннего серозного геморрагического среднего отита, который в течение нескольких дней прогрессировал до тяжелого сепсиса с последующим септическим шоком, полиорганной недостаточностью, двусторонней полисегментарной пневмонией, плевральным выпотом, тяжелой тромбоцитопенией и энцефалопатией смешанного происхождения. Несмотря на комплексное лечение в отделении интенсивной терапии, включающее эмпирическую антибиотикотерапию, применение вазопрессоров и коррекцию нарушений свертываемости крови и обмена веществ, состояние пациентки неуклонно ухудшалось, и она скончалась через месяц после начала заболевания. Причиной смерти, подтвержденной патологическими исследованиями, стали шоковые изменения внутренних органов, морфологическое проявление терминальной стадии сепсиса. Этот случай иллюстрирует, что даже у молодых, ранее здоровых женщин инфекции вне репродуктивной системы во время беременности могут иметь катастрофические последствия. Клинический пример подчеркивает критическую важность ранней диагностики, тщательного наблюдения и междисциплинарного подхода при любых признаках системной инфекции во время беременности.
сепсис
акушерский сепсис
средний отит
инфекция
беременность
летальный исход
полиорганная недостаточность
1. Singer M., Deutschman C. S., Seymour C. W. et al. The Third International Consensus definitions for sepsis and septic shock (Sepsis-3) // JAMA. 2016. Vol. 315. Is. 8. P. 801-810. DOI: 10.1001/jama.2016.0287.
2. Filetici N., Van de Velde M., Roofthooft E., Devroe S. Maternal sepsis // Best Pract Res Clin Anaesthesiol. 2022. Vol. 36. Is. 1. P. 165-177. DOI: 10.1016/j.bpa.2022.03.003.
3. Оленев А. С., Новикова В. А., Радзинский В. Е. Мировые концептуальные подходы к снижению материнской смертности // Акушерство и гинекология: новости, мнения, обучение. 2018. Т. 6. (3 приложение). С. 5-17. DOI: 10.24411/2303-9698-2018-13901.
4. Барановская Е. И. Материнская смертность в современном мире // Акушерство, Гинекология и Репродукция. 2022. Т. 16. № 3. С. 296-305. DOI: 10.17749/2313-7347/ob.gyn.rep.2022.279.
5. Evans L., Rhodes A., Alhazzani W. et al. Surviving Sepsis Campaign: International Guidelines for Management of Sepsis and Septic Shock // Crit. Care Med. 2021. Vol. 49. P. e1063-e1143. DOI: 10.1097/CCM.0000000000005337.
6. Armstrong B. A., Betzold R. D., May A. K. Sepsis and Septic Shock Strategies // Surg. Clin. North. Am. 2017. Vol. 97. Is 6. P. 1339-1379. DOI: 10.1016/j.suc.2017.07.003.
7. Гуров А. В., Мужичкова А. В., Юшкина М. А. Острый гнойный средний отит: ключевые особенности патогенетической терапии // Медицинский совет. 2024. № 18. С. 42-47DOI: 10.21518/ms2024-471.
8. Heming N., Azabou E., Cazaumayou X. et al. Sepsis in the critically ill patient: current and emerging management strategies // Expert Rev. Anti-Infect. Ther. 2021. Vol. 19. Is. 5. P. 635–647. DOI: 10.1080/14787210.2021.1846522.
9. Vincent J. L., Sakr Y., Singer M., et al. Prevalence and Outcomes of Infection Among Patients in Intensive Care Units in 2017 // JAMA. 2020. Vol. 323. Is. 15. P. 1478-1487. DOI: 10.1001/jama.2020.2717.
10. Plante L. A., Pacheco L. D., Louis J. M. Sepsis during pregnancy and the puerperium: SMFM Consult Series № 47 // American Journal of Obstetrics and Gynecology. 2019. Vol. 220. № 4. P. B2–B10. DOI: 10.1016/j.ajog.2019.01.216.
11. Тимофеева Н. Б. Шмидт А. А. Гайворонских Д. И. Безменко А. А. Варфоломеев Д. И. Анашкина Р. И. Атаянц К. М. Сепсис в акушерстве и гинекологии. Современные аспекты клиники, диагностики и лечения. СПб.: СпецЛит, 2018. 39 с. ISBN: 978-5-299-00926-2.
12. Буланов М. Н., Казаков А. А., Хамаганова И. В., Казакова П. О., Потапова С. В. Клинический случай развития сепсиса у пациентки с буллёзным пемфигоидом // Медицинский совет. 2023. Т. 17. № 14. С. 76–81. DOI: 10.21518/ms2023-272.
13. Хаертынов Х. С., Анохин В. А., Николаева И. В., Хамидуллина З. Л., Идрисова И. Р. Редкий клинический случай синдрома Лемьера // Казанский медицинский журнал. 2022. Т. 103. № 3. С. 504–508. DOI: 10.17816/KMJ2022-504.
14. Пимахина Е. В., Пимахин А. А., Васин И. В., Супряга А. А. Специализированное программное обеспечение в обучении ординаторов по специальности Анестезиология-реаниматология // Современные проблемы науки и образования. 2024. № 4. URL: https://science-education.ru/ru/article/view?id=33558 (дата обращения: 23.04.2026). DOI: 10.17513/spno.33558.
15. Пимахина Е. В., Пимахин А. А., Жигунов В. В., Толкач Н. М. Учебный оптический видеоларингоскоп // Патент РФ № RU 2850372 С1. Правообладатель: Федеральное государственное бюджетное образовательное учреждение высшего образования «Рязанский государственный медицинский университет имени академика И.П. Павлова» Министерства здравоохранения Российской Федерации (RU), выдан 11 ноября 2025 г.

Введение

Несмотря на существенные достижения современной медицины в области диагностики, антибактериальной терапии и интенсивного лечения, акушерский сепсис по‑прежнему занимает одно из ведущих мест среди жизнеугрожающих осложнений беременности, родов и послеродового периода [1]. Эпидемиологические данные свидетельствуют о том, что в европейских странах частота сепсиса у беременных составляет 0,3–1,6 случая на 1000 родов [2], тогда как в Российской Федерации этот показатель остается в таких же пределах, что сохраняет актуальность данной проблемы для отечественного здравоохранения. Несмотря на относительно низкую распространённость, смертность остаётся значительной: летальные исходы наблюдаются примерно у 15% пациенток, а материнская смертность от сепсиса в развитых странах оценивается в 1,2 случая на 100 000 живорождённых [3].

По данным Федеральной службы государственной статистики, в структуре материнской смертности в Российской Федерации инфекционные осложнения и сепсис продолжают занимать значимый удельный вес, выступая одной из основных причин предотвратимой смерти [4]. Наиболее частыми источниками инфекции являются поражения половых органов: эндометрит, послеоперационные осложнения после кесарева сечения и пиелонефрит. При этом более 60% эпизодов сепсиса развиваются в послеродовом периоде, реже - во время родов или на ранних сроках беременности. В современной литературе внимание уделяется и нетипичным очагам инфекции, способным инициировать системный воспалительный ответ, однако подобные случаи остаются плохо изученными. Среди них описаны единичные наблюдения сепсиса, развившегося после острых ЛОР‑инфекций, включая средний отит, который крайне редко рассматривается как возможный источник угрозы для беременной женщины [5; 6].

Представленный клинический случай демонстрирует развитие генерализованного инфекционного процесса на фоне острого левостороннего серозно‑геморрагического среднего отита у пациентки на 16‑й неделе беременности. Данный вариант инфекции, встречающийся менее чем в 0,1% случаев сепсиса у взрослых, сопровождался полиорганным поражением: двусторонней внебольничной пневмонией, экссудативным плевритом, септическим шоком, тромбоцитопенией и энцефалопатией смешанного генеза. Подобное сочетание осложнений на раннем сроке беременности представляет клиническую редкость и подчёркивает необходимость расширенного дифференциального поиска при оценке лихорадочных состояний у беременных, независимо от локализации первичного очага инфекции [7].

Цель исследования

Описать и проанализировать клинический случай сепсиса и септического шока у беременной женщины на 16-й неделе гестации, обусловленного редким, экстрагенитальным источником инфекции - острым левосторонним серозно-геморрагическим средним отитом; выявить патофизиологических особенности и факторы генерализации инфекции, оценить диагностические и тактические трудности, а также актуализировать необходимость междисциплинарного подхода при ведении подобных пациентов.

Материалы и методы исследования

Проведён ретроспективный анализ клинического наблюдения, включающий данные первичной медицинской документации, результаты физикального и лабораторно-инструментального обследования, материалы лучевой диагностики и заключения профильных специалистов. Оценка данных выполнена с использованием клинического, аналитического и сравнительно-описательного подходов в контексте опубликованных литературных источников по проблеме акушерского сепсиса. Описание клинического случая выполнено с учётом рекомендаций CARE и отечественных методических подходов к клиническим наблюдениям.

Исследование проведено в соответствии с этическими принципами. Учитывая летальный исход пациентки, письменное информированное согласие на публикацию клинического наблюдения и сопроводительных изображений было получено от ее законного представителя (родственника). Все персональные данные пациентки были деперсонифицированы (анонимизированы) перед подачей рукописи.

Результаты исследования и их обсуждение

Пациентка 35 лет, повторнородящая на 16-й неделе беременности, проживающая в пригородном районе, относилась к группе умеренного социально‑бытового риска: не была трудоустроена, в течение последних пяти недель не обращалась за медицинской помощью, хотя беременность наблюдалась в женской консультации без особенностей. Острый дебют заболевания с лихорадкой, болью в горле, сухим кашлем, заложенностью и отореей на стороне поражённого уха сопровождался самолечением и поздним обращением за медицинской помощью, что, вероятно, стало одним из факторов прогрессирования локальной инфекции до стадии системного воспалительного ответа. Это согласуется с данными о влиянии атипичных источников инфекции и задержке ранней диагностики заболевания.

К моменту осмотра бригадой скорой медицинской помощи состояние пациентки оценивали как тяжёлое: отмечали гипертермию до 40,7 °C, выраженную артериальную гипотензию (80 и 40 мм рт. ст.), спутанность сознания, выраженную общую слабость. При поступлении в стационар сохранялись те же клинические признаки, первоначально расценённые как проявления острой респираторной вирусной инфекции. На данном этапе уже имелись критерии септического шока (гипотензия, требующая вазопрессорной поддержки, и признаки органной дисфункции) у беременной, что в соответствии с современными клиническими рекомендациями по лечению сепсиса и септического шока у взрослых и акушерскому сепсису следует рассматривать как угрожающее жизни состояние, требующее немедленной эскалации интенсивной терапии.​

Лабораторные исследования выявили выраженный воспалительный ответ и нарушения гемостаза. В общем анализе крови эритроциты 3,7х1012/л, лейкоцитоз 22,0×109/л с нейтрофилёзом (гранулоциты - 95%, лимфоциты - 4%, моноциты - 1%), тромбоцитопения 65×109/л, снижение гемоглобина до 107 г/л, гематокрит 0,30, а также крайнее повышение уровня прокальцитонина до 87,7 нг/мл. Такая комбинация показателей свидетельствует о тяжёлом бактериальном сепсисе с высокой вероятностью неблагоприятного исхода; сопоставимые уровни прокальцитонина в клинических исследованиях ассоциированы с выраженной полиорганной дисфункцией и высокой летальностью при сепсисе. Раннее определение прокальцитонина в данном случае согласуется с септической природой процесса, однако не позволило изменить исход из‑за уже сформировавшейся стадии декомпенсации.

Инструментальные методы визуализации дополнили картину генерализованного инфекционного процесса. Компьютерная томография органов грудной клетки выявила двустороннюю полисегментарную внебольничную пневмонию с экссудативным плевритом, что указывает на вовлечение дыхательной системы в рамках синдрома острых повреждений лёгких при сепсисе. РКТ и МРТ головного мозга продемонстрировали патологический субстрат в наружном слуховом проходе и барабанной полости, признаки этмоидита, сфеноидита и гайморита, а также участки вазогенного отёка в затылочных долях и мозжечке, интерпретируемые как возможный вариант задней обратимой энцефалопатии. Совокупность этих данных подтверждает отогенный характер сепсиса с распространением инфекции на структуры височной кости и ЦНС, что соответствует описанным в литературе тяжёлым отогенным осложнениям у взрослых и редко встречается в акушерской практике [8].

С целью верификации возбудителя и подбора этиотропной терапии проведен комплекс микробиологических исследований. Перед началом введения антибактериальных препаратов был взят забор крови на гемокультуру. В ходе санирующей мастоидотомии в антруме и ячейках сосцевидного отростка было обнаружено гнойное содержимое, материал направлен на бактериологическое исследование.

По результатам лабораторного анализа в мокроте пациентки выявлен рост Streptococcus pyogenes в клинически значимой концентрации. Выделенный штамм демонстрировал высокую вирулентность и устойчивость к ряду препаратов (в том числе к ванкомицину), что потребовало коррекции антибиотикотерапии. Результаты посева отделяемого из уха и гемокультуры оценивали в совокупности с клинической картиной генерализации инфекции.

Микробиологическое исследование мокроты выявило рост Streptococcus pyogenes в клинически значимой концентрации при тяжёлом системном воспалительном процессе. Полученные данные чувствительности и резистентности штамма (в том числе устойчивость к ванкомицину) послужили основанием для коррекции эмпирически начатой антибиотикотерапии, что отражает известную проблему несоответствия стартового выбора антибактериальных препаратов фактическому микробиологическому профилю при сепсисе и подчёркивает необходимость учёта локальных данных по резистентности. В сочетании с выраженной тромбоцитопенией и признаками ДВС‑синдрома это указывает на стремительное развитие тяжёлого септического процесса с вовлечением микроциркуляторного русла.

Поставлен диагноз: острый левосторонний серозно-геморрагический средний сепсис. Септический шок. Полиорганная недостаточность. Беременность на сроке 16 недель. Внебольничная двусторонняя полисегментарная пневмония. Двусторонний экссудативный плеврит, на фоне септического состояния. Тромбоцитопения. Анемия 1 степени. Риносинусит. Энцефалопатия смешанного генеза (дисметаболическая, дисэлектролитная, токсическая).

Лечение было начато сразу после поступления и включало перевод в отделение реанимации, катетеризацию центральной вены, проведение искусственной вентиляции лёгких через трахеостому (аппарат Draeger Evita с параметрами: SIMV VС, дыхание через трахеальную трубку с внутренним диаметром 8 мм, FiO2 =40%, f =16 раз/мин., Vinsp = 460 мм, PS=10 см. вд. Ст., f total= 18 раз/мин., МОД 7000 мл/мин., t in-t ext+ 1:2, PEEP 8 см. вд. ст., ежедневная обработка полости рта), интенсивную инфузионную и вазопрессорную терапию (норадреналин применяли через инфузомат в режиме длительной инфузии 0,2 мкг/кг час), трансфузию эритроцитарной массы, свежезамороженной плазмы и тромбоцитарного концентрата, а также комбинацию антибиотиков (меропенем 2.0 г внутривенно через инфузомат в режиме длительной инфузии 3 раза в день, ванкомицин 1.0 г внутривенно капельно 2 раза в день, линезолид 600 мг каждые 12 часов) и противогрибкового препарата (флуконазол в дозе 400 мг в сутки), эластическое бинтование нижних конечностей. Парентеральное питание проводили с использованием кабивена и йоностерила. Такой комплекс мероприятий в целом соответствует современным принципам ведения септического шока и тяжёлого акушерского сепсиса, однако эффективность интенсивной терапии существенно снижается при позднем начале лечения и наличии уже развившейся полиорганной недостаточности, как это подчёркивается в клинических рекомендациях.​ Такая комбинация гипотензии, гипертермии и тромбоцитопении при беременности соответствует критериям септического шока и ассоциирована с высоким риском летального исхода.

На вторые сутки госпитализации развился неполный самопроизвольный аборт при сроке беременности 16 недель с рождением двух мёртвых плодов и последующим кюретажем полости матки. Одновременно была выполнена санирующая мастоидотомия с ревизией антрума и среднего уха в связи с осложнённым гнойным средним отитом, что позволило устранить предполагаемый первичный очаг инфекции. Такое сочетание акушерского вмешательства и ЛОР‑операции в условиях септического шока отражает необходимость агрессивной хирургической тактики при отогенных источниках сепсиса, описанной в современных работах по отогенным внутричерепным осложнениям и септическому шоку.​

Несмотря на проводимую интенсивную терапию, по данным повторных КТ и УЗИ отмечалась отрицательная динамика: сохранялись признаки двусторонней пневмонии и плеврального выпота, нарастали явления асцита и отёка паренхиматозных органов, регистрировались признаки лёгочной гипертензии и умеренной сердечной дисфункции. Лабораторные показатели демонстрировали нарастание анемии, лейкоцитоза, выраженную тромбоцитопению и высокие уровни маркеров системного воспаления, что соответствует картине прогрессирующей полиорганной недостаточности при рефрактерном септическом шоке. На десятые сутки пребывания в стационаре, на фоне продолжающейся вазопрессорной поддержки, у пациентки произошла остановка кровообращения, реанимационные мероприятия оказались безуспешными, констатирована биологическая смерть.

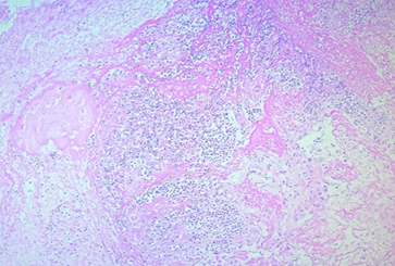
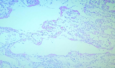
Патологоанатомическое исследование подтвердило наличие острого гнойного среднего отита с остеомиелитом височной кости, отогенного сепсиса, инфекционно‑токсического шока, выраженного поражения лёгких по типу острого респираторного дистресс-синдрома (ОРДС) (рис. 1) и тромботических изменений в матке (рис. 2) и других органах.

Рис. 1. Микроскопический препарат легких (фото авторов)

На рисунке 1 представлены признаки острого респираторного дистресс-синдрома (ОРДС), двусторонняя пневмонией с интенсивной альвеолярной экссудацией и кровоизлияниями. Микроскопически наблюдаются множественные очаги утолщения легочной паренхимы, гиперплазия альвеолярных клеток II типа и тромбоз капилляров.

Рис. 2. Микроскопический препарат тромба матки (фото авторов)

На рисунке 2 представлен тромб матки - структура, состоящая в основном из фибрина, эритроцитов и большого количества нейтрофилов. Окрашивание позволяет обнаружить признаки активного воспаления и инфекции - наличие фрагментов поврежденной бактериями ткани эндометрия.

Выявленные морфологические изменения соответствуют терминальной стадии септического процесса и демонстрируют типичный для тяжёлого сепсиса каскад: локальный очаг инфекции→системная воспалительная реакция→ДВС‑синдром→ полиорганная недостаточность→летальный исход, описанный в фундаментальных работах по сепсису и акушерскому сепсису, а также в клинических рекомендациях по септическому шоку.​

Таким образом, представленный клинический случай иллюстрирует сочетание нескольких неблагоприятных факторов: позднее обращение за медицинской помощью, атипичный экстрагенитальный источник инфекции (острый серозно‑геморрагический средний отит), быстрый прогресс септического процесса до шока и полиорганной недостаточности на раннем сроке беременности. Такая комбинация обусловила крайне тяжёлое течение и летальный исход, подчёркивая необходимость раннего распознавания сепсиса у беременных при любой системной инфекции и междисциплинарного подхода к ведению подобных пациентов [2; 4; 6].

Динамика состояния пациентки и проводимых мероприятий представлена в таблице. При поступлении состояние пациентки было расценено как критическое, с быстрым прогрессированием полиорганной недостаточности.

Хронология развития заболевания и оценка критериев сепсиса

Сутки госпитализации

Клиническая картина и данные диагностики

Интенсивная терапия и вмешательства

Критерии сепсиса/шока (SOFA, лактат, гемодинамика)

1-е сутки (поступление)

Поступление. Диагноз: внебольничная двусторонняя полисегментарная пневмония, риносинусит, острый левосторонний средний отит. Беременность 18–19 недель. КТ: признаки пневмонии, экссудативный плеврит, патология в барабанной полости

Начало антибактериальной терапии. Симптоматическое лечение. Подготовка к экстренной операции

Сепсис. Подтверждение наличия очага инфекции. SOFA: 4–5 баллов. Дыхание: 2 балла. Свертываемость крови: 1–2 балла. Лактат: 2,5–3,0 ммоль/л. АД ср. > 65 мм рт. ст.

2-е сутки (дестабилизация)

Резкое ухудшение состояния. Септический шок. Гипотензия, олигурия, признаки полиорганной недостаточности

Хирургический этап: кюретаж полости матки, антромастоидотомия слева. Катетеризация центральной вены, трахеостомия. Перевод в ОРИТ. Введение вазопрессоров

Септический шок: гипотония, не поддающаяся инфузионной терапии. SOFA: 10–11 баллов. Сердце: 3 балла (вазопрессоры). Почки: 2 балла. Лактат: 5,0–6,5 ммоль/л. АД ср: 55–60 мм рт. ст.

3-5 сутки (стабилизация)

ИВЛ (SIMV VC,

40%, PEEP 8 см вод. ст.). Энцефалопатия смешанного генеза. Относительная стабилизация гемодинамики

ИВЛ аппаратом Draeger Evita. Инфузионная терапия, норадреналин, антибиотики. Эластичное бинтование нижних конечностей

SOFA: 9–10 баллов. ЦНС: 2 балла. Дыхание: 2 балла. Лактат: 3,5–4,5 ммоль/л (стойкое повышение). АД ср.: 65–70 мм рт. ст. (при использовании вазопрессоров)

6-9-е сутки (прогрессирование полиорганной недостаточности)

КТ/МРТ: вазогенный отек головного мозга (PRES-синдром). УЗИ: асцит (270 мл), гидроторакс, отек паренхимы почек. ЭхоКГ: дилатация предсердий, фракция выброса 60%, гидроперикард (20 мл)

Продолжение ИВЛ. Увеличение доз вазопрессоров. Коррекция метаболизма и гемостаза

SOFA: 12–13 баллов. ЦНС: 4 балла (кома). Почки: 3–4 балла (острая почечная недостаточность). Лактат: 6,0–8,0 ммоль/л. АД ср.: 60–65 мм рт. ст. (максимальная поддержка)

10-е сутки (летальный исход)

Внезапная остановка сердечной деятельности. Атоническая кома. Мидриаз, арефлексия. Асистолия на мониторе

Реанимация: непрямой массаж сердца, ИВЛ (100%). Норадреналин 1,0 мкг/кг/мин., адреналин в/в

SOFA: 18–20 баллов (максимальный). Рефрактерный шок. Лактат > 12,0 ммоль/л. АД ср.: 0 мм рт. ст.

10-е сутки (констатация смерти)

Отсутствие эффекта от реанимационных мероприятий в течение 30 минут

Констатация биологической смерти

Причина: сепсис, септический шок, полиорганная недостаточность

Обсуждение

Исходная тяжесть состояния пациентки при поступлении свидетельствовала о далеко зашедшем инфекционном процессе, который к моменту госпитализации соответствовал стадии септического шока с развёрнутым синдромом полиорганной недостаточности. Лабораторные признаки выраженного системного воспалительного ответа (высокий лейкоцитоз, крайне высокий уровень прокальцитонина, тромбоцитопения) и данные инструментальных методов (двусторонняя полисегментарная пневмония, плевральный выпот, признаки энцефалопатии и поражения височной кости) соответствуют современным представлениям о патогенезе сепсиса как генерализованного инфекционно‑воспалительного процесса с поражением микроциркуляции и формированием ДВС‑синдрома. У беременных женщин подобное сочетание факторов ассоциировано с высоким риском летального исхода и требует максимально раннего начала интенсивной терапии [7; 8]. ​

Классически большинство случаев акушерского сепсиса связано с инфекциями половых органов, послеродовыми осложнениями и урогенитальной патологией. В представляемом наблюдении исходным источником инфекции явился острый левосторонний серозно‑геморрагический средний отит, осложнившийся отогенным поражением височной кости, развитием системной воспалительной реакции и полиорганной недостаточности [7]. ЛОР‑патология как первичный очаг при сепсисе у взрослых описана в ряде работ, однако для беременных женщин такие случаи остаются казуистическими и практически не представлены в акушерской литературе. Это подчёркивает необходимость сохранения высокой настороженности в отношении возможного системного распространения инфекции даже при, казалось бы, «локализованных» оториноларингологических заболеваниях.

Особое значение в данном случае имела задержка обращения за медицинской помощью и позднее распознавание тяжести состояния. Пациентка в течение нескольких дней занималась самолечением, а первые симптомы (лихорадка, оталгия, респираторные проявления) могли быть расценены как банальная вирусная инфекция. Сходная проблема диагностических задержек при сепсисе, приводящих к прогрессированию до шока и ухудшению прогноза, неоднократно подчёркивалась в клинических рекомендациях и наблюдательных исследованиях. Для беременных эта ситуация особенно критична, поскольку физиологические изменения гемодинамики и иммунного ответа могут маскировать ранние признаки системной инфекции и приводить к их недооценке на догоспитальном этапе, что неоднократно подчёркивали в клинических рекомендациях и наблюдательных исследованиях [2; 4; 9].

Ведение данной пациентки иллюстрирует важность сочетания ранней интенсивной терапии и активного хирургического контроля источника инфекции. Применённый комплекс мероприятий (агрессивная инфузионная и вазопрессорная терапия, ранняя искусственная вентиляция лёгких, комбинированная антибактериальная терапия, трансфузионная поддержка, последующее уточнение антибиотикограммы) соответствует современным принципам терапии сепсиса и септического шока [7; 10; 11]. Одновременное выполнение кюретажа полости матки и санирующей мастоидотомии в условиях септического шока отражает необходимость оперативного устранения возможных очагов инфекции, которая подчёркивается в работах по отогенным осложнениям и тяжёлому сепсису [11]. Тем не менее выраженность полиорганной недостаточности и позднее начало интенсивного лечения сделали прогноз неблагоприятным, несмотря на выполнение большинства рекомендованных вмешательств [2].

Сочетание септического шока, полиорганной недостаточности, тяжёлой тромбоцитопении и энцефалопатии на раннем сроке беременности (16 недель) встречается относительно редко и практически не представлено в рандомизированных исследованиях, что ограничивает возможность опоры на высокоуровневые доказательные рекомендации именно для этой группы пациенток [2; 9]. В таких ситуациях клиническая тактика формируется преимущественно на основе extrapolation общих принципов лечения сепсиса у взрослых, данных об акушерском сепсисе и единичных клинических наблюдений, в том числе при редких источниках инфекции (дерматологические, отогенные, синдром Лемьера и др.) [12; 13]. Публикация подобных случаев позволяет расширить представления о спектре возможных триггеров акушерского сепсиса и служит основой для формирования более дифференцированных клинических рекомендаций [2; 9; 12].

Полиэтиологический характер инфекционного процесса в данном наблюдении (сочетание среднего отита, риносинусита, двусторонней пневмонии, плеврита и обширных микротромбозов) свидетельствует о генерализованном поражении микроциркуляторного русла и выраженной иммунной дисфункции. Аналогичные каскады осложнений описаны в клинических и морфологических исследованиях сепсиса, где подчёркивается ключевая роль системного воспалительного ответа, эндотелиальной дисфункции и коагулопатии в формировании полиорганной недостаточности. В этом контексте случай подчёркивает необходимость раннего использования не только общеклинических маркеров (лейкоцитоз, тромбоцитопения), но и специфических показателей (прокальцитонин, Д‑димер, показатели коагулограммы) для своевременной оценки тяжести и прогноза [4; 5; 8]. ​

Представленный клинический пример имеет существенное образовательное и практическое значение: демонстрирует, что сепсис у беременных женщин может развиваться при экстрагенитальных источниках инфекции, в том числе при острых ЛОР‑заболеваниях, и не должен рассматриваться исключительно как осложнение акушерских или урогенитальных вмешательств [4; 9; 10]. Случай подчёркивает необходимость междисциплинарного подхода с участием акушера‑гинеколога, анестезиолога‑реаниматолога, оториноларинголога, инфекциониста и, при необходимости, других специалистов, что соответствует современным концепциям ведения тяжёлого сепсиса и сложных клинических ситуаций [5; 7; 11]. Проведен акцент внимания на важности раннего информирования и обучения беременных женщин относительно опасности самолечения и необходимости немедленного обращения за медицинской помощью при появлении признаков системной инфекции.

Отмеченное клиническое течение в целом соответствует современным представлениям о материнском сепсисе и септическом шоке, отражённым в российских клинических рекомендациях и международных руководствах по ведению беременных с тяжёлыми инфекционными осложнениями. Применённая тактика раннего перевода в отделение реанимации, гемодинамической стабилизации, респираторной поддержки, раннего назначения комбинированной антибактериальной терапии и хирургического контроля источника инфекции соответствует ключевым принципам, сформулированным в рекомендациях по септическому шоку и акушерскому сепсису, однако позднее начало интенсивной терапии на фоне уже сформировавшейся полиорганной недостаточности демонстрирует те пределы эффективности, которые описаны в этих документах для случаев поздней диагностики [2; 9; 11].

Таким образом, анализ данного клинического наблюдения дополняет существующие представления об экстрагенитальных причинах акушерского сепсиса и подчёркивает критическое значение ранней диагностики, своевременного хирургического контроля источника инфекции и интенсивной терапии при любых признаках системной инфекции у беременных женщин [2; 4; 11].

Представленный случай может быть использован как сценарий для симуляционного обучения ординаторов и интернов, в том числе с применением специализированного программного обеспечения и учебных устройств, ранее разработанных авторами [14; 15].

Заключение. Представленный клинический случай демонстрирует, что острый серозно‑геморрагический средний отит может выступать атипичным экстрагенитальным источником акушерского сепсиса с развитием септического шока, тяжёлой полиорганной недостаточности и летального исхода на раннем сроке беременности. Даже при исходно удовлетворительном соматическом статусе беременной женщины локализованная ЛОР‑инфекция в короткие сроки способна трансформироваться в генерализованный септический процесс с поражением лёгких, сердечно‑сосудистой системы, ЦНС и системы гемостаза.

Полученные наблюдения позволяют сформулировать несколько практических положений: острый средний отит у беременных с лихорадкой, выраженным болевым синдромом и системными симптомами (тахикардия, гипотензия, слабость, нарушения сознания) должен рассматриваться как потенциальный источник сепсиса и требовать раннего расширенного обследования. Появление тромбоцитопении, нарастание маркеров системного воспаления (С‑реактивный белок, прокальцитонин), признаков дыхательной недостаточности и гемодинамической нестабильности следует расценивать как «красные флажки» возможного сепсиса у беременных, требующие немедленной эскалации интенсивной терапии и перевода в ОРИТ. Эффективное ведение подобных пациентов предполагает сочетание ранней целенаправленной интенсивной терапии и активного хирургического контроля источника инфекции (санирующие ЛОР‑вмешательства, акушерская тактика), что возможно только в условиях междисциплинарного взаимодействия акушера‑гинеколога, анестезиолога‑реаниматолога и оториноларинголога. Задержка в распознавании сепсиса и начале интенсивного лечения даже на 6-12 часов на фоне атипичного клинического дебюта существенно ухудшает прогноз, что подчёркивает необходимость высокой настороженности в отношении сепсиса при любой системной инфекции во время беременности.

Публикация данного клинического наблюдения восполняет дефицит сведений об экстрагенитальных источниках акушерского сепсиса, расширяет дифференциально‑диагностический поиск при лихорадочных состояниях у беременных и может способствовать совершенствованию алгоритмов раннего выявления и ведения сепсиса в акушерской практике.


Конфликт интересов
Авторы заявляют об отсутствии конфликта интересов.

Финансирование
Авторы заявляют об отсутствии внешнего финансирования.

Библиографическая ссылка

Пимахина Е.В., Севрюков А.В., Авачева Т.Г., Ершов Н.Г. ОСТРЫЙ СЕРОЗНЫЙ ГЕМОРРАГИЧЕСКИЙ СРЕДНИЙ ОТИТ КАК НЕТИПИЧНАЯ ПРИЧИНА АКУШЕРСКОГО СЕПСИСА // Современные проблемы науки и образования. 2026. № 5. ;
URL: https://science-education.ru/ru/article/view?id=34583 (дата обращения: 29.04.2026).
DOI: https://doi.org/10.17513/spno.34583