Введение
На сегодняшний день патология щитовидной железы является одним из самых распространенных неинфекционных соматических заболеваний человека [1]. В 2024 году в Российской Федерации выполнено 22056 операций на щитовидной железе [2].
Одной из сложных проблем хирургической эндокринологии является выбор оптимального способа оперативного вмешательства при доброкачественных больших узловых и кистозных образованиях щитовидной железы. В настоящее время основным способом вмешательства при доброкачественных узловых образованиях щитовидной железы является гемитиреоидэктомия или тиреоидэктомия. Несмотря на разработанность множества основных технических приемов, применяемых во время вмешательств на щитовидной железе, интраоперационного нейромониторинга, флюоресцентной визуализации околощитовидных желез и различной оценки в них кровотока, остается достаточно высоким процент специфических послеоперационных осложнений, таких как нарушение функций гортани и паращитовидных желез. Частота повреждения гортанных нервов, по данным различных авторов, колеблется от 0,2% до 15% [3-5]. Данное осложнение возрастает до 40% при повторных вмешательствах [6].
Транзиторное нарушение функции паращитовидных желез после операций на щитовидной железе развивается у 23,6% пациентов, а постоянное - у 7,3% пациентов [7]. При выполнении тиреоидэктомии в специализированных стационарах частота гипокальциемии составляет 1-7,5% [8].
Частота специфических осложнений увеличивается с увеличением объема и травматичности вмешательств на щитовидной железе [9].
Кроме того, традиционные способы оперативного вмешательства при больших объемных образованиях характеризуются отрицательным косметическим эффектом, снижают качество жизни и неблагоприятно влияют на психоэмоциональное состояние пациентов [10].
Остается не решенной проблема лечения пациентов с большими кистозными образованиями щитовидной железы. Кисты щитовидной железы разделяются на истинные и ложные. Истинные кисты - редкое явление; их отличительная черта - наличие фолликулярного эпителия, выстилающего внутреннюю поверхность.
В клинической практике преимущественно наблюдаются ложные кисты, возникающие вследствие кистозной дегенерации коллоидного узла. Развитие дистрофических процессов, способных привести к частичному либо полному некрозу узла, обусловлено совокупным действием нескольких факторов: неравномерным ростом эпителия, накоплением коллоида и перестройкой сосудистого русла. В результате формируется ложная киста, содержимое которой представляет собой жидкий коллоид с примесью изменённой крови.
В лечении больных с небольшими кистозными образованиями в настоящее время широко используется этаноловая склеротерапия. При наличии солидного компонента в кисте дополнительно применяется лазериндуцированная термотерапия [11-13]. Большие кистозные образования, вызывающие синдром сдавления, распространяющиеся загрудинно, заполненные густым коллоидом, требуют уже оперативного лечения [14; 15].
Цель исследования – привести клинический пример оперативного лечения пациента с большим кистозным образованием с интраоперационным уменьшением объема щитовидной железы по предложенной нами методике (патент на изобретение «Способ профилактики гипопаратиреоза и повреждения гортанных нервов при хирургическом лечении доброкачественных кистозных образований щитовидной железы путем гемитиреоидэктомии или тиреоидэктомии» № 2850723 от 02.04.2025).
Материалы и методы исследования
Работа выполнена на базе Бюджетного учреждения «Республиканский клинический госпиталь для ветеранов войн» Минздрава Чувашии с января по октябрь 2025 г. Проведен проспективный анализ клинического случая пациента с установленным диагнозом многоузлового зоба.
Результаты исследования и их обсуждение
Клинический случай. Пациент Н., 34 года, поступил в хирургическое отделение БУ «РКГВВ» Минздрава Чувашии для планового оперативного лечения с диагнозом: «Многоузловой зоб 2 ст. (по ВОЗ). Крупная киста левой доли щитовидной железы. Эутиреоз».
Жалобы при поступлении: чувство «кома» при глотании, затруднение дыхания, учащенное сердцебиение, появление опухолевидного образования в области шеи слева.
Анамнез заболевания: жалобы на чувство «кома» при глотании появились в январе 2025 г. Затем через 2 месяца заметил опухолевидное образование в проекции левой доли щитовидной железы, которое постепенно увеличилось.
В предоперационном периоде на амбулаторном этапе выполнен весь комплекс обязательных исследований: анализ крови на тиреотропный гормон свободный Т3, свободный Т4, кальцитонин, ультразвуковое исследование щитовидной железы, тонкоигольная аспирационная биопсия узлов щитовидной железы, рентгенография органов грудной клетки, общеклинические анализы, определение ионизированного кальция, витамина Д.
УЗИ щитовидной железы. Правая доля ШхТхД, 1,6х1,3х4,7 (4,7 куб. см). Не содержит узловых образований. Левая доля 4,1х5,6х8,7 см (V доли 95,7 куб. см), содержит крупное жидкостное образование 3,8х5,0х7,9 см (V кисты 71,9 куб. см) с пристеночным. Частично загрудинное расположение левой доли щитовидной железы.
Паращитовидные железы: очаговые образования не лоцируются.
Подвижность голосовых складок при фонационной пробе симметричная.
Ширина трахеи – 22 мм.
Лимфатические узлы: передний яремный л/узел, толщина: слева 2,4 мм, справа 2,8 мм. Верхний яремный л/узел, толщина: слева 3,8 мм, справа 5,1 мм. Все лимфатические узлы обычной структуры, кортико-медуллярная дифференцировка сохранена.
Гормональный спектр крови: ТТГ – 1,19 мк МЕ/л (0.27 – 4.2 мк МЕ/л). Св. Т3 – 4,1 пмоль/л (2,5 – 5,7 пмоль/л). Св. Т4 – 20,4 пмоль/л (10,8-20,0 пмоль/л). Кальцитонин крови – 2,92 пг/мл. (0-9,52). Витамин Д – 56,93 нг/мл (30-100).
Тонкоигольная аспирационная биопсия кисты щитовидной железы. Эвакуировано 70 мл светло-желтой кистозной жидкости. Цитологическое изучение центрифугата кистозной жидкости. Заключение: Bethesda 2. Коллоидный зоб.

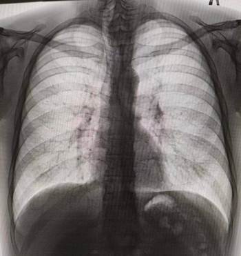
Рис. 1. Рентгенограмма органов грудной клетки. Составлено авторами по результатам рентгенологического исследования пациента
Рентгенография органов грудной клетки. Заключение. Усиление, деформация легочного рисунка, преимущественно в прикорневых зонах обоих легких. Некоторое расширение сердечной тени. Трахея несколько смещена вправо (рис. 1).
Больной осмотрен до операции оториноларингологом. Подвижность голосовых складок сохранена.
Показания к оперативному лечению: синдром сдавления, косметический дефект.
Выполнена гемитиреоидэктомия слева с перешейком под эндотрахеальным наркозом.
Произведен разрез кожи, подкожной клетчатки, поверхностной фасции, подкожной мышцы шеи длиной 5 см.
Сохранены наружные яремные вены. Верхний лоскут отсепарован до верхнего края щитовидного хряща, нижний лоскут – до яремной вырезки грудины. Обнажены передние мышцы шеи. По белой линии шеи мышцы разведены. Обнажена щитовидная железа (рис. 2).

Рис. 2. Левая доля щитовидной железы с кистой. Составлено авторами по результатам оперативного вмешательства
Выделен пирамидальный отросток и удален. Выделен, мобилизован и пересечен перешеек. Пункционным способом эвакуирована жидкостная часть узлового образования. Получено 80 мл светло-желтой жидкости с примесью тканевого детрита (рис. 3, 4).

Рис. 3. Аспирация содержимого кисты левой доли щитовидной железы. Составлено авторами по результатам оперативного вмешательства

Рис. 4. Схема аспирации содержимого кисты левой доли щитовидной железы. Составлено авторами по результатам данного исследования
Мобилизация левой доли щитовидной железы от трахеи. Выделена, пересечена и лигирована нижняя щитовидная артерия. Выделена нижняя паращитовидная железа с сохранением питающих её сосудов. С использованием микрохирургических инструментов пересечена связка Берри и выделен возвратный нерв. Затем произведена попеременная мобилизация доли щитовидной железы с внутренней, нижней и наружной сторон («метод раскачивания»). Нижний полюс левой доли щитовидной железы выведен в операционную рану (рис. 5, 6).

Рис. 5. Левая доля ЩЖ с кистой выведена в рану после аспирации. Составлено авторами по результатам оперативного вмешательства

Рис. 6. Схема мобилизации левой доли ЩЖ после аспирации и выделения нижней паращитовидной железы: 6 - магистральный ствол нижней щитовидной вены; 7 – нижняя паращитовидная железа; 8 – выделение нижней паращитовидной железы с сохранением питающей сосудистой ножки; 9 – направление мобилизации правой доли щитовидной железы с пересечением связки Берри. Составлено авторами по результатам данного исследования
Мобилизована верхняя паращитовидная железа с сохранением питающих ее сосудов. Выделена, пересечена и лигирована верхняя щитовидная артерия (рис. 7, 8). Произведен контроль гемостаза.

Рис. 7. Схема мобилизации верхнего полюса левой доли ЩЖ и выделения верхней паращитовидной железы: 10 - возвратный гортанный нерв; 11 – верхняя паращитовидная железа; 12 – верхняя щитовидная железа с уровнем пересечения ветвей сосуда. Составлено авторами по результатам данного исследования

Рис. 8. Выделенная левая доля ЩЖ, вид сбоку (схема). Составлено авторами по результатам данного исследования
Во время операции выполнялся нейромониторинг возвратного и верхнего гортанных нервов аппаратом InomedC2. Снижения амплитуды сигнала до выделения и после удаления левой доли ЩЖ не было. Наложены послойные швы на рану.
Макропрепарат: удаленная левая доля ЩЖ с кистой (рис. 9, 10).
Послеоперационный период прошёл благополучно, без осложнений. Заживление раны происходило первичным натяжением. На четвёртые сутки послеоперационного периода был осуществлён съём швов. В ходе наблюдения контролировались ключевые показатели: уровень ионизированного кальция (составил 1,2 ммоль/л при норме 1,12–1,32 ммоль/л) и подвижность голосовых складок - отклонений от нормы не выявлено. Пациент был отпущен домой в удовлетворительном состоянии под дальнейшее наблюдение эндокринолога.

Рис. 9. Удаленная левая доля ЩЖ с кистозной полостью. Составлено авторами по данным послеоперационного материала

Рис. 10. Удаленная левая доля ЩЖ со вскрытой кистозной полостью. Составлено авторами по данным послеоперационного материала
Заключение
Предложенный способ выделения доли ЩЖ - вначале медиальная мобилизация доли ЩЖ с последующим переходом на попеременную мобилизацию с нижней и наружной стороны («методика раскачивания») - позволяет избежать тракционных повреждений возвратного нерва и паращитовидных желез.
Предложенная нами методика интраоперационного уменьшения объема удаляемой доли щитовидной железы, путем пункции и аспирации содержимого кисты (или узла с кистозным компонентом), позволяет выполнить удаление доли или всей щитовидной железы через небольшой хирургический доступ с хорошим косметическим эффектом. При этом не происходит избыточное растяжение окружающих тканей и уменьшается вероятность повреждений околощитовидных желез и гортанных нервов, что позволяет уменьшить тяжесть хирургической травмы, сократить длительность операции, срок послеоперационного лечения и реабилитации и достичь хорошего косметического результата.
Конфликт интересов
Финансирование
Библиографическая ссылка
Осипов В.Ф., Герасимова Л.И., Айзетуллова Г.Р., Пак В.И., Осипов М.В. СПОСОБ ОПЕРАТИВНОГО ЛЕЧЕНИЯ БОЛЬНЫХ С БОЛЬШИМИ КИСТОЗНЫМИ ОБРАЗОВАНИЯМИ ЩИТОВИДНОЙ ЖЕЛЕЗЫ (КЛИНИЧЕСКОЕ НАБЛЮДЕНИЕ) // Современные проблемы науки и образования. 2026. № 2. ;URL: https://science-education.ru/ru/article/view?id=34487 (дата обращения: 20.05.2026).
DOI: https://doi.org/10.17513/spno.34487



