Введение
Центральная серозная хориоретинопатия (ЦСХ) – болезнь из спектра пахихориоидальных заболеваний, которая обычно проявляется снижением центрального зрения, метаморфопсиями, центральной скотомой и другими нарушениями зрения [1]. Однако причины развития пахихороида до сих пор остаются неизвестными [2].
Известно, что мужчины в 6 раз чаще, чем женщины, страдают этим недугом и наиболее часто – в самом продуктивном возрасте (39–51 год) [3], чаще заболевают представители азиатской расы, пациенты после трансплантации органов, больные с синдромом Кушинга, терминальной почечной недостаточностью, артериальной гипертонией, системной красной волчанкой, пациенты с типом личности А (легковозбудимые) [4]. Пациентов с личностью типа А можно охарактеризовать как людей с повышенной работоспособностью, конкуренцией, возбудимостью, агрессией и нетерпеливостью. В результате проведенного исследования L.A. Yannuzzi установил, что у данной группы пациентов при психологическом стрессе увеличивается уровень содержания катехоламинов и кортизола в крови. Следовательно, происходит гиперактивация симпатической нервной системы, что увеличивает риск возникновения центральной серозной хориоретинопатии в 3,5 раза [5]. Примечательно, что для женского населения характерно развитие патологии в более зрелом возрасте и во время беременности [6, с. 12].Выявлена также ассоциация ЦСХ с инфицированием Helicobacter pylori.
По литературным данным, основным звеном в патогенезе ЦСХ являются морфологические и функциональные нарушения в системе хориокапиллярного комплекса – мембрана Бруха – пигментный эпителий (ПЭ). Дезорганизация ПЭ способствует беспрепятственному распространению белковых субстратов и жидкости как в хориоретинальном, так и в ретинохориоидальном направлениях. Под действием провоцирующих факторов (аллергических, инфекционных, аутоиммунных и др.) клетки пигментного эпителия начинают выделять большое количество ионов, которые направляются в субретинальное пространство, что способствует возникновению дефекта в ПЭ. Все это сказывается на избыточном накоплении жидкости субэпителиально и возникновении серозной отслойки нейроэпителия [7].
В 1967 г. J.D. Gass впервые предположил, что гиперпроницаемость хориоидеи приводит к развитию ЦСХ за счет повышения гидростатического давления в тканях хориоидеи. Это предположение было подкреплено данными визуализации с помощью ангиографии с индоцианином зеленым.
Последние теории пахихориоидальных процессов основаны на работе J.D. Gass. Спектр пахихориоидальных заболеваний – это относительно новая классификация, которая включает такие клинические состояния, как ЦСХ, пахихориоидальная неоваскулопатия (ПНВ), пахихориоидальная пигментная эпителиопатия, перипапиллярный пахихориоидальный синдром, фокальная хориоидальная экскавация и полипоидная хориоидальная васкулопатия (ПХВ). Признаками пахихориоидальных заболеваний являются пахихориоидея или увеличение толщины сосудистой оболочки, пахисосуды или расширенные хориоидальные вены слоя Галлера и истончение внутренней части сосудистой оболочки – слоя хориокапилляров [1; 8].
Данные ОКТ (оптической когерентной томографии) и ОКТ-А (ангио ОКТ) значительно расширяют представления о патогенезе и клиническом течении ретинальной патологии [9]. Одним из часто встречающихся симптомов заболеваний, вовлекающих макулярную область, является отслойка нейроэпителия (ОНЭ). Она считается типичным проявлением центральнойсерознойхориоретинопатии(ЦСХ)[9–11].
Доказанным и безопасным методом лечения неосложненных форм хронической ЦСХ является селективное микроимпульсное лазерное воздействие (СМИЛВ) на сетчатку глаза, которое снижает риск структурного и функционального лазерного повреждения сетчатки [12; 13]. В последние годы увеличилось количество сообщений о применении СМИЛВ в лечении ЦСХ [6, с. 179; 14; 15].
Учитывая многообразие клинической картины, изучение нетипичных клинических случаев ЦСХ представляется актуальной задачей.
Цель исследования – представить клинический случай центральной серозной хориопатии с очень высокой отслойкой нейроэпителия.
Материал и методы исследования
В отделение лазерной хирургии обратилась женщина 57 лет с жалобами на низкое зрение левого глаза в течение 6 месяцев. Из анамнеза: пациентка много лет работает в горячем цеху поваром. Гиперметропия с детства. Левый глаз всегда видел хуже, чем правый. Эмоционально лабильна, повышенно тревожна.
Проведены стандартные методы обследования, ОКТ, ангио ОКТ, ультразвуковое В- сканирование, микропериметрия.
Результаты исследования и их обсуждение
Острота зрения правого глаза 0,5 sph + 1,5 D=1,0, левого глаза 0,05 sph + 2,5 D = 0,2.
По данным В-сканирования на левом глазу выявлена полная задняя отслойка стекловидного тела, отслойка сетчатки локальная в центральной зоне. По данным микропериметрии определялась относительная скотома при обследовании в стандартном режиме 68 точек. Световая чувствительность в макуле была значительно снижена – до 14,2 дБ (рис.1).

Рис.1. Динамика микропериметрии. До лечения определяется относительная центральная скотома. Световая чувствительность в макуле 14,3 дБ.
Примечание: составлен авторами по результатам данного исследования
По данным ОКТ на правом глазу плоские отслойки пигментного эпителия вне фовеа, дистрофические очажки пигментного эпителия, пахисосуды хориоидеи, толщина хориоидеи 522 мкм, на левом глазу очень высокая отслойка нейроэпителия – 530 мкм, по верхневисочной сосудистой аркаде участки отслоения пигментного эпителия, интраретинальные включения средней рефлективности в проекции наружных слоев сетчатки, пахихориоидея, пахисосуды, зона с фокальной экскавацией хориоидеи. Толщина хориоидеи 587 мкм (рис.2, а, б; 3).



Рис.2. Пахисосуды хориоидеи: а) толщина хориоидеи 522мкм на правом глазу; б) толщина хориоидеи 587мкм на левом глазу.
Примечание: составлен авторами по результатам данного исследования

Рис.3. Динамика ОКТ левого глаза до лечения.
Примечание: составлен авторами по результатам данного исследования
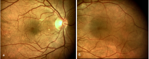
Объективно: Оба глаза спокойные, преломляющие среды прозрачные. На глазном дне: диск зрительного нерва бледно-розовый, границы четкие. Умеренное сужение артерий, вены не изменены. В макулярной области правого глаза отслойка пигментного эпителия в нижне-назальной перифовеа, мелкие дистрофические очажки вне фовеа. В макулярной области левого глаза определяется высокий отек, белковый экссудат. По верхне-височной аркаде определяются несколько мелких отслоек пигментного эпителия, дистрофические очажки (рис.4, а, б).
Учитывая наличие пахисосудов по данным ОКТ на оба глаза был поставлен диагноз: центральная серозная хориоретинопатия левого глаза, пахихориоидальная пигментная эпителиопатия правого глаза, гиперметропия слабой степени обоих глаз.



Рис.4. Картина глазного дна: а) правого глаза: в макуле отслойка пигментного эпителия в нижне-назальной перифовеа, мелкие дистрофические очажки вне фовеа; б) левого глаза: в макуле высокий отек с белковым экссудатом.
Примечание: составлен авторами по результатам данного исследования
Произведена фокальная лазеркоагуляция на левом глазу мелких отслоек пигментного эпителия по верхневисочной сосудистой аркаде на навигационной лазерной системе «Навилас». Параметры лазерного излучения: диаметр пятна 105 мкм, мощность 70 мВТ, экспозиция 30 мс. Наносились коагуляты 1 степени. Из-за очень высокой отслойки нейроэпителия и расположения множественных отслоек пигментного эпителия по верхне-височной сосудистой аркаде было невозможно наложить ни данные ОКТ, ни данные ангио ОКТ на снимок глазного дна перед проведением фокальной лазеркоагуляции. В связи с этим использовался снимок ангио ОКТ, напечатанный на бумаге.
При повторном обращении через 2 недели пациентка отмечает значительное улучшение. Острота зрения левого глаза 0,05 sph +2,5 D=0,4. По ОКТ на левом глазу отмечалась положительная динамика: уменьшение высоты и протяженности отслойки нейроэпителия, сохраняется плоская отслойка пигментного эпителия в верхней перифовеа. При осмотре отек в макулярной зоне значительно меньше, белковый экссудат меньше. Нежные лазеркоагуляты по верхневисочной сосудистой аркаде.
При обращении через 1 месяц пациентка отмечает дальнейшее улучшение зрения. Острота зрения левого глаза 0,1 sph +2,5 D=0,7. По данным ОКТ наблюдалась отрицательная динамика: появление отслойки нейроэпителия в верхней и верхне-височной перифовеа (рис.5, а). По верхневисочной аркаде уменьшение высоты отслоек пигментного эпителия. По данным ангио ОКТ нельзя исключить СНМ (субретинальную неоваскулярную мембрану). При осмотре в макулярной зоне отек гораздо меньше, белкового экссудата нет, но появился отек выше фовеа. По верхневисочной аркаде нежные лазеркоагуляты, неоваскуляризация явно невидна. Были назначены мочегонные препараты. Явка через 1 месяц.
При обращении еще через 1 месяц жалобы на снижение зрения на левый глаз в течение недели. Острота зрения левого глаза 0,05 sph +3,5 D=0,5. По данным ОКТ наблюдается увеличение высоты отслойки нейроэпителия в фовеа, сохраняется отслойка пигментного эпителия в перифовеа, увеличение толщины хориоидеи (рис.5, б), на ангио ОКТ данных за наличие СНМ нет. При осмотре определяется серозный отек в височных квадрантах фовеа. Произведено субпороговое микроимпульсное лазерное воздействие зоны серозного отека на навигационной лазерной системе «Навилас» с предварительным наложением картины ОКТ на снимок глазного дна, предварительным тестированием энергии и исключением аваскулярной зоны фовеа. Параметры лазерного излучения: диаметр пятна 105 мкм, мощность 500 мВТ, экспозиция 100 мс, скважность 5 %, количество импульсов 350.
При обращении через 3 месяца пациентка жалоб не предъявляла. Острота зрения левого глаза 0,1 +2, sph 25 D=0,9. По данным ОКТ левого глаза нейроэпителий прилежит, профиль фовеа сохранен (рис.5, в), в верхней перифовеа плоская отслойка пигментного эпителия, в ее проекции дефекты эллипсоида фоторецепторов, пахисосуды хориоидеи. На ангио ОКТ данных за наличие СНМ нет.

Рис.5. Динамика ОКТ левого глаза а) через 1месяц после фокальной лазеркоагуляции; б) через 2 месяца после фокальной лазеркоагуляции; в) через 3 месяца после субпорогового микроимпульсного лазерного воздействия.
Примечание: составлен авторами по результатам данного исследования
По данным микропериметрии наблюдалась значительная положительная динамика. Световая чувствительность в макуле повысилась до 23,3 дБ (рис.6).



Рис.6. Динамика микропериметрии через 3 месяца после СМИЛВ.
Световая чувствительность в макуле 23,3 дБ.
Примечание: составлен авторами по результатам данного исследования
При осмотре глазного дна левого глаза в макуле отека нет, атрофические очажки по верхневисочной аркаде, дефекты пигментного эпителия выше фовеа.
Следующее обращение пациентки было через год. Пациентка жалоб на левый глаз не предъявляла, сетчатка полностью прилегла, функции восстановились.
Представленный клинический случай вызывает большой интерес, поскольку такая обширная отслойка нейроэпителия при центральной серозной хориопатии встречается крайне редко. Проводилась дифференциальная диагностика с локальной отслойкой сетчатки в макуле, поскольку она определялась при В-сканировании, с новообразованием хориоидеи из-за наличия интраретинальных включений на ОКТ. Диагноз был поставлен на основании наличия пахисосудов хориоидеи на обоих глазах.
При первичном обращении наличие нескольких отслоек пигментного эпителия по верхневисочной аркаде явилось показанием к фокальной пороговой лазеркоагуляции, в результате которой отслойки пигментного эпителия прилегли. Это привело к положительному эффекту. В дальнейшем автор наблюдал образование новых точек просачивания юкстафовеально. Это привело к усилению серозного отека в фовеа и снижению зрения. В данном случае селективное микроимпульсное лазерное воздействие явилось наиболее безопасным и эффективным методом лечения.
После проведения СМИЛВ отслойка нейроэпителия полностью прилегла и был достигнут стойкий положительный эффект в течение года наблюдений.
Заключение
Лечение центральной серозной хориопатии с очень высокой отслойкой нейроэпителия и большой площадью отслойки нейроэпителия комбинированным методом фокальной лазеркоагуляции и СМИЛВ явилось эффективным в течение года наблюдений.
Конфликт интересов
Финансирование
Библиографическая ссылка
Крылова И.А. КЛИНИЧЕСКИЙ СЛУЧАЙ ЦЕНТРАЛЬНОЙ СЕРОЗНОЙ ХОРИОРЕТИНОПАТИИ С ОЧЕНЬ ВЫСОКОЙ ОТСЛОЙКОЙ НЕЙРОЭПИТЕЛИЯ // Современные проблемы науки и образования. 2026. № 1. ;URL: https://science-education.ru/ru/article/view?id=34459 (дата обращения: 29.04.2026).
DOI: https://doi.org/10.17513/spno.34459



