Введение
Химические ожоги пищевода у детей остаются одной из наиболее тяжёлых травм верхних отделов желудочно-кишечного тракта и относятся к категории состояний, представляющих значительную угрозу для жизни и здоровья ребёнка [1-3]. Ведущую роль в их возникновении занимает случайный приём бытовых химических средств, среди которых преобладают чистящие растворы, средства для прочистки канализационных труб, а также высококонцентрированные щёлочи и кислоты [4-6]. Особую группу риска составляют дети раннего возраста, что обусловлено возрастной любознательностью, стремлением исследовать окружающие предметы через вкусовое восприятие [7; 8], отсутствием осознания опасности и нередко - возможностью свободного доступа к бытовой химии в условиях домашней среды [9; 10].
Щелочные средства для прочистки труб, к которым относится и широко используемое в быту средство «Крот», как правило, содержат высокие концентрации гидроксида натрия и других агрессивных щелочных соединений [11; 12]. При их случайном приёме развивается тяжёлое химическое поражение пищевода, характеризующееся глубоким повреждением слизистой оболочки с последующим формированием коагуляционного, а затем колликвационного некроза [13]. Это приводит к быстрому вовлечению подслизистого и мышечного слоёв стенки пищевода и формированию обширных зон разрушения тканей [14]. Даже относительно небольшое количество проглоченного вещества способно вызвать крайне неблагоприятные последствия: развитие глубокого ожога, формирование рубцовых стенозов, стойкое нарушение акта глотания, резкое снижение качества жизни ребёнка и потребность в длительном, многоэтапном лечении, включающем интенсивную терапию, нутритивную поддержку и повторные эндоскопические вмешательства [15].
В связи с этим изучение клинического течения щелочных ожогов пищевода у детей, своевременной диагностики, особенностей лечебной тактики и долгосрочных исходов является актуальной задачей современной педиатрической гастроэнтерологии и детской хирургии.
Цель исследования
Показать на конкретном клиническом примере особенности течения тяжёлого щелочного ожога пищевода у ребёнка возрастом 2 года 3 месяца, продемонстрировать влияние позднего обращения за медицинской помощью на тяжесть поражения и проанализировать тактику ведения сформировавшегося рубцового стеноза.
Материалы и методы исследования
В основу работы положено клиническое наблюдение ребёнка раннего возраста с тяжёлым щелочным ожогом пищевода, развившимся после случайного приёма бытового средства для прочистки труб.
Исследование носило характер ретроспективного клинико-описательного анализа. Оценка состояния проводилась на основании сбора анамнестических данных, клинического осмотра, динамического наблюдения за общим состоянием и возникающими симптомами дисфагии, болевого синдрома и нарушений питания.
Диагностическая программа включала проведение фиброэзофагогастродуоденоскопии в остром периоде для визуальной оценки степени химического повреждения стенки пищевода и выявления признаков некроза, а также повторные эндоскопические исследования в процессе заживления для контроля формирования рубцового стеноза.
Дополнительно выполнялось рентгеноконтрастное исследование пищевода с оценкой проходимости, локализации и протяжённости сужения. Лечение проводилось в условиях многопрофильного стационара и включало интенсивную терапию в остром периоде, нутритивную поддержку с последующим наложением гастростомы, а также курс последовательных эндоскопических расширений пищевода.
Динамическое наблюдение осуществлялось на всех этапах лечения с клинической и инструментальной оценкой эффективности проводимых мероприятий и рисков осложнений.
Результаты исследования и их обсуждение
Клиническое наблюдение
Обстоятельства травмы и первые действия родителей
Девочка, 2 года 3 месяца, ранее практически здорова, развивалась по возрасту. В день инцидента ребёнок находился дома вместе с родителями. По их словам, девочка играла на кухне, имела доступ к раковине и предметам, находившимся поблизости. Флакон с чистящим средством «Крот» хранился без специальной защиты от детей.
В какой-то момент родители заметили у ребёнка необычную реакцию - плач, отказ от воды, жалобы (в форме крика и отталкивания ложки) при попытке дать питьё. При осмотре они отметили выраженное раздражение слизистой полости рта, покраснение и жалобы на боль при контакте с жидкостью и едой (по поведению ребёнка).
Заподозрив, что девочка могла выпить чистящее средство, родители самостоятельно попытались промыть полость рта водой, несколько раз дав ребёнку прополоскать и выплюнуть. Каких-либо иных действий (вызов скорой помощи, обращение в стационар) предпринято не было: родители предположили, что всё ограничилось поверхностным раздражением слизистой рта. После этого ребёнка уложили спать.
Ухудшение состояния и госпитализация
Через 3 часа состояние ребёнка резко ухудшилось. Девочка стала беспокойной, отказывалась от любой жидкости, продолжалось обильное слюнотечение, появилось затруднённое глотание. К этому присоединился подъём температуры тела до фебрильных цифр. Любая попытка дать воду или лекарство вызывала усиление плача и усиление слюнотечения, ребёнок держал рот приоткрытым, постоянно сглатывал или выплёвывал слюну.
Осознав серьёзность состояния, родители вызвали бригаду скорой медицинской помощи. При осмотре бригадой отмечались выраженные признаки болевого синдрома, отказ от питья, гиперсаливация, признаки интоксикации. Ребёнок был госпитализирован в стационар.
Диагностика и эндоскопическая картина
Учитывая анамнестические данные о возможном приёме щелочного средства и выраженные клинические проявления, в экстренном порядке проведена обзорная рентгенография органов грудной полости и шеи, фиброэзофагогастродуоденоскопия.
При рентгенографии патологии не выявлено. При эндоскопии выявлена картина тяжёлого химического повреждения пищевода: слизистая резко отёчна, с участками бледно-жёлтого и сероватого окрашивания, множественными фибринозными налётами и участками некроза. Диагностирован фибринозно-некротический эзофагит тяжёлой степени. Отдельные участки слизистой выглядели «матовыми», без привычного сосудистого рисунка, с признаками глубокого поражения.
Желудок и двенадцатиперстная кишка были осмотрены по возможности: отмечались умеренные воспалительные изменения слизистой желудка, без столь выраженного некроза, как в пищеводе. Основная зона поражения приходилась на грудной отдел пищевода.
По завершении исследования ребёнок был переведён в отделение реанимации и интенсивной терапии, учитывая тяжесть состояния и риск прогрессирования некроза, развития осложнений (перфорация, медиастинит, аспирация).
Лечение в остром периоде
В реанимации проводился комплекс мероприятий, включающий:
· инфузионную терапию с целью коррекции водно-электролитного баланса и детоксикации;
· обезболивание и седацию по показаниям, учитывая выраженный болевой синдром;
· антибактериальную терапию широкого спектра для профилактики инфекционных осложнений;
· ингибиторы протонной помпы и препараты, снижающие агрессивность желудочного содержимого;
· парентеральное питание и максимально щадящее отношение к поражённому органу, с исключением приёма пищи и жидкости per os.
Проводился динамический контроль состояния, мониторинг жизненно важных показателей, регулярная оценка клинической картины и лабораторных данных. В остром периоде признаков перфорации или медиастинита не выявлялось, однако тяжесть ожога и эндоскопической картины изначально позволяла предполагать высокий риск последующего рубцевания и формирования стеноза.
Формирование рубцового стеноза и дальнейшая тактика
По мере купирования острых проявлений ожога и выхода из реанимационного этапа ребёнок был переведён в профильное отделение под наблюдение гастроэнтеролога и детского хирурга.
В течение последующих недель отмечалась постепенная смена острого воспалительного процесса стадией заживления. На данном этапе начались проявления рубцового процесса в пищеводе: ребёнок всё хуже переносил приём жидкости, появлялись эпизоды попёрхивания, удлинение времени глотания, отказ от более густой пищи.
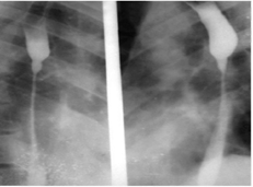
При контрольной эзофагоскопии (рис. 2) и рентгеноконтрастном исследовании пищевода (рис. 1) выявлены признаки формирующегося рубцового стеноза: сужение просвета на участке прежнего ожога, замедленное прохождение контраста через поражённый сегмент, локальное нарушение растяжимости стенки.

Рис. 1. Стеноз пищевода на рентгенографии

Рис. 2. Стеноз пищевода, эндоскопическая картина
По мере прогрессирования рубцевания симптоматика усиливалась: ребёнок снижал объём принимаемой пищи, отмечались признаки дефицита массы тела, риск аспирации и обезвоживания. В связи с этим было принято решение о наложении гастростомы для обеспечения адекватного энтерального питания.
Наложение гастростомы
В условиях операционной, под общим обезболиванием, выполнено формирование гастростомы. Это вмешательство позволило:
· обеспечить стабильное и контролируемое питание, минуя поражённый пищевод;
· снизить нагрузку на рубцово-изменённый сегмент;
· подготовить ребёнка к длительному периоду восстановительного лечения, включая неоднократные эндоскопические вмешательства.
После наложения гастростомы питание осуществлялось через зонд, подбирался объём и состав смеси с учётом возраста и степени нутритивного дефицита.
Бужирование пищевода
На фоне стабилизации общего состояния и обеспечения питания через гастростому начат этап эндоскопической коррекции рубцового стеноза. В плановом порядке проводилось бужирование пищевода - последовательное расширение суженного участка с использованием бужей различного диаметра.
Процедуры выполнялись неоднократно, с интервалами, определёнными клинической динамикой и результатами контрольных исследований. Основными целями бужирования были:
· восстановление проходимости пищевода;
· профилактика прогрессирования стеноза;
· постепенная подготовка к возвращению полноценного приёма пищи per os.
Каждая процедура сопровождалась тщательным мониторингом состояния ребёнка, оценкой риска перфорации и контроля возможных осложнений. Со временем удавалось добиться расширения просвета стенозированного сегмента до функционально удовлетворительного диаметра.
Представленный клинический случай наглядно демонстрирует несколько ключевых проблем, связанных с химическими ожогами пищевода у детей.
Во-первых, решающую роль играет время до обращения за медицинской помощью. В данном наблюдении родители, заметив первые признаки повреждения слизистой полости рта, ограничились самостоятельной попыткой промывания и не обратились к специалистам. Это привело к потере критически важного времени, в течение которого щелочной агент продолжал оказывать глубинное разрушительное действие на стенку пищевода.
Во-вторых, клиническая картина в первые часы может быть относительно мало специфичной: ребёнок плачет, отказывается от еды, становится капризным, что часто трактуется родителями как «обычное недомогание». Отсутствие рвоты или явной крови в первые часы не исключает тяжёлого повреждения. Именно ночное ухудшение с выраженной дисфагией, слюнотечением и лихорадкой вынудило родителей вызвать скорую помощь.
В-третьих, эндоскопическая картина фибринозно-некротического эзофагита свидетельствует о глубоком поражении стенки пищевода и изначально определяет высокий риск рубцевания. Даже при грамотной интенсивной терапии и аккуратном ведении острого периода процесс заживления сопровождается формированием рубцовой ткани и сужением просвета.
Тактика ведения подобных пациентов, как правило, многоэтапная:
1) купирование острого воспаления и предупреждение ранних осложнений (кровотечение, перфорация, медиастинит);
2) обеспечение надёжного питания (в данном случае - гастростома);
3) борьба с рубцовым сужением - регулярное бужирование или иные методы эндоскопической коррекции стеноза;
4) длительное наблюдение за ростом и развитием ребёнка, оценка функции глотания и качества жизни.
Наложение гастростомы сыграло ключевую роль в профилактике нутритивной недостаточности, что особенно важно для детей раннего возраста, находящихся в периоде активного роста. Бужирование, несмотря на необходимость многократных вмешательств, позволило восстановить функциональную проходимость пищевода и уменьшить выраженность дисфагии.
С практической точки зрения данный случай подчёркивает необходимость активной санитарно-просветительской работы среди родителей: хранение бытовой химии вне доступа детей, использование защитных крышек, своевременное обращение за медицинской помощью при малейшем подозрении на приём агрессивных химических веществ.
Заключение
Наблюдение за девочкой возрастом 2 г. 3 мес., случайно выпившей щелочное чистящее средство «Крот», демонстрирует типичный, но крайне тяжёлый вариант течения химического ожога пищевода у ребёнка раннего возраста. Позднее обращение за медицинской помощью обусловило развитие глубокого поражения стенки пищевода по типу фибринозно-некротического эзофагита с последующим формированием рубцового стеноза.
Многоэтапная тактика, включавшая интенсивную терапию в остром периоде, наложение гастростомы и повторные сеансы бужирования, позволила стабилизировать состояние, обеспечить адекватное питание и постепенно восстановить проходимость пищевода. Представленный случай подчёркивает, насколько важны: строгий контроль за хранением бытовых химических средств, ранняя диагностика, готовность к длительному комплексному лечению у детей, перенёсших щелочной ожог пищевода.
Конфликт интересов
Финансирование
Библиографическая ссылка
Салахов Э.С. ТЯЖЁЛЫЙ ЩЕЛОЧНОЙ ОЖОГ ПИЩЕВОДА У РЕБЁНКА РАННЕГО ВОЗРАСТА ПОСЛЕ СЛУЧАЙНОГО ПРИЁМА БЫТОВОГО СРЕДСТВА: КЛИНИЧЕСКОЕ НАБЛЮДЕНИЕ // Современные проблемы науки и образования. 2026. № 1. ;URL: https://science-education.ru/ru/article/view?id=34452 (дата обращения: 29.04.2026).
DOI: https://doi.org/10.17513/spno.34452



