Введение
Хронические облитерирующие заболевания артерий нижних конечностей (ХОЗАНК) представляют собой одну из значительных проблем современного здравоохранения. В большинстве случаев основной причиной поражения артерий нижних конечностей является атеросклероз. Наиболее тяжелой формой этой патологии является критическая ишемия нижних конечностей (КИНК), которая проявляется болями в покое и ишемическими язвами. Эти симптомы существенно увеличивают риск как потери конечностей, так и сердечно-сосудистой смертности [1]. ХОЗАНК имеют широкое распространение в мире. Согласно последним данным, по меньшей мере 113 млн чел. в возрасте 40 лет и старше могут страдать от данной патологии, причем около 42,6 % из них проживают в странах с низким или средним уровнем дохода. В целом распространенность заболеваний периферических артерий составляет приблизительно 1,52 %, однако она резко увеличивается с возрастом, затрагивая 15–20 % населения в возрасте 70–80 лет и до 30 % людей старше 80 лет. В период с 1990 по 2019 г. распространенность ХОЗАНК увеличилась на 72 % [2]. На сегодняшний день разработано множество оперативных вмешательств для лечения облитерирующих заболеваний артерий нижних конечностей, которые, хотя и не останавливают прогрессирование заболевания, помогают достичь эффекта реваскуляризации. Сосудистая реконструкция и эндоваскулярные процедуры считаются основными методами лечения таких пациентов [3]. Все варианты реконструкции артериального русла, как правило, направлены на восстановление магистрального артериального кровотока с помощью шунтирующих или протезирующих операций, а также чрескожной эндоваскулярной ангиопластики [4]. При многоуровневых атеросклеротических поражениях использование гибридных вмешательств имеет явные преимущества по сравнению со стандартными хирургическими методами [5]. Гибридные операции являются предпочтительными при одновременных реваскуляризациях многоэтажных поражений сосудистого русла. Несмотря на то, что в современных источниках нет данных о единстве подхода к этапности использования различных методов при выполнении гибридных операций, данное направление в хирургии периферических артерий призвано расширить показания, улучшить результаты лечения, снизить частоту тромбозов и рестенозов, уменьшить количество повторных вмешательств и «высоких» ампутаций, сократить сроки пребывания больного в стационаре [6].
Целью описания клинического случая является демонстрация успешного применения гибридного подхода в лечении пациента с КИНК при многоуровневом атеросклеротическом поражении артерий нижних конечностей.
Клиническое наблюдение
Пациент К., женского пола, 61 год, поступил в плановом порядке в отделение сосудистой хирургии Госпиталя ветеранов войн в апреле 2023 г. с жалобами на онемение и похолодание, а также на боли покоя в левой нижней конечности. Считает себя больным 3 года, когда появились боли при ходьбе на расстояние до 700 м. Дистанция безболевой ходьбы постепенно прогрессивно уменьшалась, 3 месяца назад возникли боли покоя. Консервативная терапия по месту жительства эффекта не принесла. В связи с сохраняющимися болями пациент обратился к ангиохирургу для дообследования и решения вопроса об оперативном лечении.
Данные обследования:
Нижние конечности нормотермичные, левая бледнее, прохладнее правой, вены на конечностях заполнены. Движения, чувствительность в полном объеме. Пульсация: справа – определяется на всех уровнях; слева – отсутствует на всех уровнях. Положительные симптомы Оппеля, Самуэльса слева. Аускультативно шумов над артериями не выслушивается. На верхних конечностях пульсация на всех уровнях. Пульсация на общих сонных артериях с двух сторон отчетливая.
Эхокардиография:
Гипертрофия межжелудочковой перегородки. Диастолическая дисфункция левого желудочка: замедление релаксации. Общая систолическая функция левого желудочка удовлетворительная (фракция выброса – 76 %). Систолическое давление в легочной артерии – 32 mm Hg. Дегенеративные изменения корня аорты с поражением структур створок, регургитация аортального клапана минимальная приклапанная.
Мультиспиральная компьютерная томоангиография:
Признаки распространенного атеросклеротического поражения аорты и артерий нижних конечностей. Справа: стеноз устья общей подвздошной артерии (ОПА) 53 %. Стеноз средней трети общей бедренной артерии (ОБА) 36 %. Слева: протяженная окклюзия ОПА. Протяженный стеноз внутренней подвздошной артерии (ВПА) 50 %. Многоуровневые стенозы средней и нижней трети наружной подвздошной артерии (НПА). Стеноз нижней трети ОБА 80 %. Протяженная окклюзия поверхностной бедренной артерии (ПБА). Глубокая артерия бедра (ГАБ) без значимых стенозов (рис. 1).

Рис. 1. КТ-ангиография артерий нижних конечностей пациента К.: протяженная окклюзия ОПА слева (верхняя стрелка), стеноз ОБА слева (средняя стрелка), протяженная окклюзия ПБА слева (нижняя двойная стрелка)
Примечание: составлен авторами по результатам данного исследования
В ходе обследования установлены диагнозы.
Основной диагноз: облитерирующий атеросклероз артерий нижних конечностей. Окклюзия общей подвздошной артерии, поверхностной бедренной артерии, гемодинамически значимый стеноз общей бедренной артерии слева. Хроническая ишемия левой нижней конечности III стадии по А.В. Покровскому.
Сопутствующий диагноз: гипертоническая болезнь 2-й стадии. Артериальная гипертензия 3-й степени, 4-й группы риска. Язвенная болезнь желудка в стадии ремиссии. Состояние после резекции желудка по поводу перфоративной язвы (2000 г.).
Лечение
После обследования пациенту было выполнено гибридное хирургическое вмешательство в объеме эндартерэктомии из ОБА с баллонной ангиопластикой и стентированием ОПА слева. Согласие пациента на оперативное лечение было получено, противопоказаний не было выявлено. После консультации анестезиолога-реаниматолога было решено проводить операционное лечение под спинномозговой анестезией.
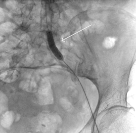
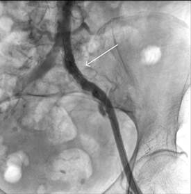
В ходе операции выполнен разрез по линии Кена в верхней трети левого бедра. Выделены ОБА, ПБА и ГАБ. В ОБА пальпировалась циркулярная атеросклеротическая бляшка. Была выполнена продольная артериотомия ОБА c переходом на устье ГАБ. Выполнена эндартерэктомия из ОБА. Решено произвести профундопластику заплатой для расширения устья ГАБ. В качестве пластического материала использован участок ствола большой подкожной вены, резецированный из этого же доступа и реверсированный. Пластика аутовенозной заплатой нитью 6/0. Пуск кровотока. В участок передней стенки ОБА выше места заплаты был установлен интродьюсер 7 фр. (рис. 2). При ангиографии визуализирована окклюзия ОПА на протяжении. После проведения мягкого гидрофильного проводника установлен баллон со стентом Balton Neptun 10 на 60 мм, выполнена ангиопластика и стентирование ОПА (рис. 3 и 4). На контрольной ангиографии восстановление просвета ОПА (рис. 5). Зафиксировано появление четкой пульсации артерий в ране. В месте доступа наложен боковой шов на ОБА. Послойные швы на рану до активного дренажа. Кровопотеря за время операции до 100 мл.
![]() |
Рис. 2. Выполнены эндартерэктомия из ОБА, пластика аутовенозной заплатой,
установлен интродьюсер в ОБА
Примечание: составлен авторами по результатам данного исследования

Рис. 3. Имплантация стента на баллоне в окклюзированной ОПА (обозначено стрелкой)
Примечание: составлен авторами по результатам данного исследования

Рис. 4. Баллон сдут, стент имплантирован корректно (обозначено стрелкой)

Примечание: составлен авторами по результатам данного исследования
Рис. 5. На контрольной ангиографии просвет ОПА восстановлен (обозначено стрелкой) Примечание: составлен авторами по результатам данного исследования
Общая поэтапная схема выполненного хирургического вмешательства представлена на рис. 6.

Рис. 6. Общая схема гибридного хирургического вмешательства: А – вид сосудистого русла до операции: протяженная окклюзия ОПА слева, стеноз нижней трети ОБА слева, протяженная окклюзия ПБА слева; Б – открытая эндартерэктомия из ОБА слева с пластикой аутовеной; В – установлен стент в ОПА слева, вид после операции
Примечание: составлен авторами по результатам данного исследования
В послеоперационном периоде у пациента осложнений не наблюдалось, наблюдение в отделении реанимации не требовалось. Была назначена двухкомпонентная антитромботическая терапия, включающая ацетилсалициловую кислоту в дозе 100 мг в сутки и ривароксабан в дозе 2,5 мг два раза в сутки на длительный срок. Пациент был выписан из стационара на пятые сутки с положительной динамикой: отмечалось регрессирование болей в покое, потепление левой нижней конечности, а также уменьшение ощущений зябкости и онемения. При выписке была зафиксирована отчетливая пульсация на ОБА слева.
Результаты исследования и их обсуждение
Через 6 и 12 месяцев наблюдения пациент был осмотрен ангиохирургом, было выполнено ультразвуковое ангиосканирование артерий нижних конечностей. По результатам последнего контрольного осмотра отмечалось клиническое улучшение в виде достижения дистанции безболевой ходьбы в диапазоне 300–500 м, что соответствует стадии хронической ишемии нижних конечностей (ХИНК) II А по А.В. Покровскому. При ультразвуковом исследовании визуализирована первичная проходимость целевых артерий левой нижней конечности (ОПА, НПА, ОБА, ГАБ) с магистральным кровотоком по ним. Таким образом, результатом гибридного реконструктивного вмешательства у пациента К. через 12 месяцев стало уменьшение стадии ХИНК на 2 уровня (с III до II А ст.), а также стойкая реваскуляризация нижней конечности с сохранением первичной проходимости целевых артерий.
Эндоваскулярные методы лечения во многих случаях заменили традиционное открытое хирургическое вмешательство из-за снижения показателей смертности и осложнений, несмотря на более высокий риск реокклюзии [7]. Однако серьезным ограничением для эндоваскулярной хирургии остаются многоуровневые поражения и поражение ОБА и ее бифуркации [8]. В этом контексте стандартным и наиболее эффективным методом лечения стено-окклюзионных поражений ОБА по-прежнему является открытая эндартерэктомия [9]. Накопленный опыт открытых реконструкций бифуркации ОБА показывает, что данная процедура эффективна и безопасна. Во-первых, реконструкция данной зоны относительно проста, отличается высокой отдаленной проходимостью и низким риском послеоперационных осложнений. Во-вторых, этот сегмент удобен для выполнения последующей эндоваскулярной коррекции как проксимальных, так и дистальных сегментов [10].
Гибридные операции позволяют снизить хирургическую травматичность и связанные с ней риски послеоперационных осложнений и смертности путем комбинации открытых и эндоваскулярных методик. Данный подход особенно актуален для пациентов с КИНК, которым требуется многоуровневая реваскуляризация для купирования явлений ишемии. Гибридные реконструкции являются методом выбора при многоуровневых поражениях артериального русла нижних конечностей во многих сосудистых центрах, и их количество продолжает увеличиваться. При аналогичной ранней и долгосрочной эффективности гибридные хирургические вмешательства требуют менее длительной госпитализации по сравнению с открытыми [11].
По данным М.Б. Темрезова и соавт., использование эндоваскулярных вмешательств на аорто-подвздошном уровне вместо открытых реконструктивных операций позволило снизить летальность в 4 раза. Гибридные технологии также значительно повысили эффективность лечения пациентов с сердечно-сосудистыми заболеваниями и позволили к настоящему времени в России снизить на 4 % смертность от сердечно-сосудистых заболеваний [12]. Показания для выполнения гибридных операций, учитывающие тип вмешательства на различных сосудистых сегментах, детально изложены в рекомендациях Американского академического сообщества сосудистой хирургии (Society for Vascular Surgery), опубликованных в 2019 г. [13]. Эти рекомендации подчеркивают необходимость оценки анатомических и функциональных характеристик сосудистых поражений для выбора оптимальной стратегии лечения.
Junjie Zou и соавт. в своем исследовании также приходят к выводу, что гибридные хирургические подходы, такие как стентирование аорто-подвздошного сегмента и/или ангиопластика бедренно-подколенного артериального сегмента в качестве дополнения к эндартерэктомии из ОБА могут обеспечить менее инвазивный, при этом эффективный и долговечный клинический результат, по крайней мере в среднесрочной перспективе, для пациентов с облитерирующими заболеваниями периферических артерий [14].
По данным Национальных рекомендаций по диагностике и лечению заболеваний артерий нижних конечностей в случае коротких стенозов/окклюзий (< 5 см) подвздошных артерий эндоваскулярные вмешательства обеспечивают хорошую долгосрочную проходимость сосудов (≥ 90 % в течение пяти лет) с низким риском осложнений. В случаях поражений подвздошно-бедренного сегмента рекомендовано гибридное вмешательство, обычно эндартерэктомия или шунтирование на уровне бедра в сочетании со стентированием подвздошных артерий, даже при протяженных окклюзивных поражениях. В том же консенсусном документе рекомендуется проводить реваскуляризацию при КИНК в максимально большом объеме с учетом локализации и протяженности поражения. При наличии технической возможности необходимо оценивать возможности эндоваскулярного вмешательства [15].
Однако в представленном авторами случае гибридного реконструктивного вмешательства у пациента через 6 месяцев наблюдалось клиническое улучшение за счет реваскуляризированной ГАБ при оставшейся окклюзированной ПБА. Опираясь на Национальные рекомендации, можно считать, что если ГАБ не имеет значимых стенозов, то есть определенная вероятность того, что симптомы перемежающейся хромоты будут уменьшены с помощью лечебной физкультуры, что и продемонстрировано выше. Таким образом, после проведенного оперативного вмешательства, учитывая клинические улучшения пациента, повторное хирургическое вмешательство на нижележащих сегментах не требуется.
Заключение
Представленный авторами клинический случай демонстрирует пример последовательных и слаженных действий хирургической команды, которая выполнила оперативное вмешательство, обеспечивающее оптимальную реваскуляризацию нижней конечности, используя при этом наименее травматичный способ. Для успешного проведения такой сложной и технологичной операции важно не только наличие соответствующего оборудования и гибридной операционной, но и согласованной и проанализированной работы всей хирургической команды, которая владеет навыками проведения открытых и эндоваскулярных методик хирургического лечения.
Таким образом, гибридные хирургические вмешательства в сосудистой хирургии могут быть операциями выбора для больных с многоуровневыми поражениями артерий нижних конечностей, в том числе при критической ишемии, а также открывают новые перспективны для успешного лечения пациентов с данными заболеваниями.
Конфликт интересов
Библиографическая ссылка
Фокин А.А., Кузнецов Н.П., Кременевский О.М., Корюкалова А.А. УСПЕШНОЕ ГИБРИДНОЕ ХИРУРГИЧЕСКОЕ ЛЕЧЕНИЕ ПАЦИЕНТКИ С КРИТИЧЕСКОЙ ИШЕМИЕЙ НИЖНЕЙ КОНЕЧНОСТИ. КЛИНИЧЕСКОЕ НАБЛЮДЕНИЕ // Современные проблемы науки и образования. 2025. № 6. ;URL: https://science-education.ru/ru/article/view?id=34410 (дата обращения: 31.03.2026).
DOI: https://doi.org/10.17513/spno.34410




