Введение
Хронический эндометрит (ХЭ) - персистирующее инфекционно-воспалительное заболевание слизистой оболочки матки, сопровождающееся нарушением менструальной функции, болевым синдромом, выделениями из половых путей либо протекающее бессимптомно [1]. По литературным данным, распространенность ХЭ в репродуктивном возрасте варьирует от 0,2% до 68% [2]. Широкий разброс показателя обусловлен отсутствием стандартизированных диагностических критериев, бессимптомным течением заболевания, различиями в методах исследования. Наметившаяся в последние 5 лет тенденция к увеличению частоты ХЭ, возможно, связана с ростом антибиотикорезистентности микроорганизмов [3]. Несмотря на весомые достижения репродуктивной медицины, ХЭ остается одной из ключевых причин женского бесплодия, невынашивания беременности и неудач имплантации при вспомогательных репродуктивных технологиях [4]. Для постановки диагноза ХЭ наряду с клиническими методами (сбор анамнеза, ультразвуковое исследование органов малого таза, гистероскопия) широко применяют ПЦР-диагностику инфекций, передаваемых половым путем [5], а также морфологическое исследование соскобов либо пайпель-биоптатов эндометрия на 7-11 дни менструального цикла [6].
Обзорное гистологическое исследование с окраской препаратов гематоксилином и эозином позволяет выявлять основные диагностические критерии ХЭ - мононуклеарную инфильтрацию, представленную лимфоцитами, гистиоцитами, плазмоцитами, лимфоидными фолликулами, гемодинамические нарушения в поверхностных отделах эндометрия, фиброз стромы, склероз сосудов [7], структурное несоответствие эпителиального и стромального компонентов дню менструального цикла [8].
Важнейшим морфологическим критерием диагностики ХЭ являются плазматические клетки. Для верификации последних, как правило, используют CD138 (синдекан-1) [9]. Количество плазмоцитов в поле зрения микроскопа до сих пор остается дискуссионным вопросом. Большинство авторов признает диагноз ХЭ достоверным при наличии в биоптате ≥1 СD138-положительной клетки в поле зрения (х400) [10]. Для повышения точности диагностики в комбинации с CD138 нередко используют маркеры MUM1/IRF4 и CD79a, также высокоспецифичные для плазматических клеток [11]. Чувствительность и специфичность комплексной диагностики хронического эндометрита, по литературным данным [12], составляет 90-95%. Учитывая, что иммуногистохимическое исследование является доступным методом для медицинских учреждений не ниже третичного уровня, полагаем, что повысить точность результата обзорной гистологии, выполненной в любом медучреждении, позволит морфометрия фиброзированных участков эндометрия.
Цель исследования - оценить современные подходы к морфологической диагностике хронического эндометрита и перспективы применения морфометрического анализа эндометрия у женщин с бесплодием.
Материал и методы исследования
Исследование, проведенное на базе лаборатории патоморфологии и электронной микроскопии Ивановского научно-исследовательского института материнства и детства им. В.Н. Городкова в соответствии с этическими стандартами, установленными Правилами клинической практики РФ (Приказ Минздрава РФ № 200н от 01.04.2016) и Хельсинкской декларацией Всемирной медицинской ассоциации, одобрено локальным этическим комитетом (протокол № 4 от 19.10.2024). Информированное письменное согласие пациентов на участие в исследовании получено.
Исследуемую группу составили 90 женщин репродуктивного возраста (18-40 лет) с клинически диагностированным хроническим эндометритом (N71.1) и бесплодием (МКБ-X N97.2), проходящих обследование и лечение в рамках прегравидарной подготовки. В группу контроля включили 30 женщин без клинических признаков ХЭ с изолированным мужским фактором бесплодия в супружеской паре, проходящих прегравидарную подготовку к циклу экстракорпорального оплодотворения. В исследование не включали пациенток с врожденными пороками развития женских половых органов, миомой матки, аденомиозом.
Гистологическое исследование эндометрия, взятого на 7-11 дни менструального цикла, фиксированного в течение 24 часов в 10% растворе нейтрального формалина на фосфатном буфере (pH=7,4), после спиртового обезвоживания, просветления в хлороформе, заключения в парафин, изготовления гистологических срезов толщиной 4-5 мкм и окрашивания гематоксилином и эозином, осуществляли при помощи светового микроскопа Axiostar plus (ZEISS, Германия). Для лучшей визуализации фиброза эндометрия использовали окраски срезов по Ван Гизону и Пикро Маллори.
Морфометрическому анализу подвергали строму, железы (считали суммарную площадь желез в поле зрения среза), воспалительные инфильтраты и зоны фиброза с использованием программы «ВидеоТест-Мастер Морфология 4,0» с цифровой камерой ProgResC3 при увеличениях ×100 и ×400. Определяли чувствительность и специфичность морфометрического метода диагностики ХЭ по формулам [13]:
ЧМ=[ИП/ИП+ЛО]100%,
СМ=[ИО/ИО+ЛП]100%,
где ЧМ - чувствительность метода, ИП – истинноположительный результат, ЛО - ложноотрицательный результат, СМ - специфичность метода, ИО – истинноотрицательный результат, ЛП - ложноположительный результат.
Статистическую обработку результатов осуществляли, используя пакет прикладных программ Excel 2010 и Statistiсa6.0. Определяли типы статистических рядов распределения, медиану (Me), верхний и нижний квартили показателей (Q1, Q3). Для анализа количественных признаков применяли непараметрический U-критерий Манна - Уитни. Межгрупповые различия рассматривали как статистически значимые при уровне p <0,05.
Результаты исследования и их обсуждение
При обзорной гистологии в эндометрии женщин контрольной группы визуализировали компактный, спонгиозный слои и поверхностный эпителий цилиндрического типа. Наибольшую удельную площадь занимали железы и строма. Железы, выстланные цилиндрическим эпителием, были равномерно распределены, имели округлую форму с ровным апикальным краем. Гиперхромные ядра эпителиальных клеток располагались на разных уровнях. Некоторые из них содержали мелкие ядрышки. Встречались единичные митозы. Строма была представлена фибробластоподобными клетками с узким ободком цитоплазмы и мелкими округлыми либо вытянутыми ядрами, иногда встречался очаговый отек в поверхностном отделе функционального слоя (16,7%; n=5). Кровоснабжение слизистой оболочки матки осуществлялось капиллярами и единичными сосудистыми клубками из 2-3 профилей спиральных артерий.
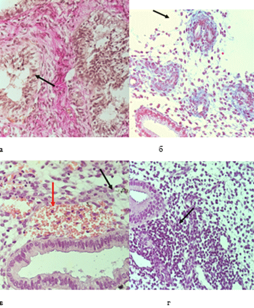
При ХЭ, связанном с бесплодием, в пайпель-биоптатах слизистой оболочки матки обнаруживали пролиферацию эпителия (33,3%; n=30), локальную гиперплазию эндометрия без атипии (3,33%; n=3), перигландулярный (рис. а) и периваскулярный (рис. б) фиброз стромы (87,7%;n=79), отек, венозный застой и распространенные периваскулярные геморрагии в поверхностных отделах функционального слоя (80%; n=72) (рис. в), микрополипы (47,8%; n=43). Во всех отделах функционального слоя эндометрия выявляли перигландулярную и периваскулярную мононуклеарную воспалительную инфильтрацию, основными компонентами которой были лимфоциты, плазматические клетки, гистиоциты, макрофаги, лейкоциты (рис. г), а также лимфоидные фолликулы.

Морфология эндометрия при хроническом эндометрите у женщин с бесплодием:
а - перигландулярный фиброз (стрелка); окраска по Ван Гизону;
б - периваскулярный фиброз (стрелка); окраска методом Пикро Маллори;
в – отек (черная стрелка), кровоизлияния в строму (красная стрелка);
г – мононуклеарная инфильтрация перигландуляной стромы (стрелка).
Окраска гематоксилином и эозином: в, г; ув. х 400: а, б, в, г.
Источник: составлено авторами на основе собственного исследования.
По данным морфометрии (табл.), суммарная площадь железистого компонента на срезе по сравнению с аналогом контрольной группы увеличилась в 2 раза (p=0,002), стромального компонента - не изменилась (p=0,08), воспалительных инфильтратов в функциональном слое - увеличилась почти в 7 раз (p=0,001).
Суммарная площадь морфометрических параметров эндометрия при хроническом эндометрите и бесплодии (Ме[Q25–Q75])
|
Морфометрические параметры эндометрия |
Группа контроля (n=30) |
Группа исследования (n=90) |
|
Железы, мкм2 |
0,9 (0,8-1,2) |
1,8 (1,2-2,2) p=0,02 |
|
Мононуклеарная инфильтрация, мкм2 |
0,06 (0,05-0,1) |
0,5 (0,2-0,5) p=0,000 |
|
Фиброз, мкм2 |
0 |
0,6(0,4-0,7) p=0,001 |
|
Строма, мкм2
|
8,1 (7,7-8,4) |
7,4(7,0-7,9) |
Примечания: p – уровень статистической значимости различий по сравнению с контрольной группой по критерию Манна - Уитни.
Составлено на основе собственного исследования авторов.
На основании обзорной гистологии, сочетанной с морфометрией, было установлено, что единственным структурным компонентом слизистой оболочки матки, практически не определяемым у женщин из группы контроля, но в подавляющем большинстве случаев - 87,7% - выявляемым при ХЭ, является фиброз стромы, патогенетически связанный с воспалением. Последнее инициирует трансформацию фибробластоподобных клеток стромы в фибробласты, которые синтезируют коллагеновые волокна соединительной ткани с компактным перигландулярным и периваскулярным расположением в эндометрии [14].
Перспективу использования морфометрии фиброзированных участков эндометрия в качестве одного из основополагающих диагностических критериев ХЭ при бесплодии оценивали путем определения чувствительности и специфичности метода, которые затем сравнивали с аналогичными параметрами прототипа, включающего гистероскопию в сочетании с обзорной гистологией и определением микробной культуры в эндометрии (без ИГХ-исследования), чувствительность и специфичность которого составляет, соответственно, 75% и 100% [15].
Для расчета чувствительности и специфичности морфометрии зон фиброза использовали формулы, включающие такие категории показателей, как истинноположительный, ложноотрицательный, ложноположительный и истинноотрицательный результат.
Первый из них, истинноположительный (ИП), – это часть случаев основной группы, состоящей из 90 человек, за исключением гистологически и морфометрически не подтвержденного хронического эндометрита, соответственно, в 5 и 6 случаях. То есть истинноположительный результат равен 79.
Ложноотрицательный (ЛО) результат – это количество случаев гистологически подтвержденного хронического эндометрита основной группы (n=85) за исключением ИП, то есть результат равен 6.
Истинноотрицательный (ИО) результат – это часть женщин основной группы с гистологически неподтвержденным хроническим эндометритом (n=5) за исключением аналога с выявленным фиброзом (n=1). ИО=4.
Ложноположительным (ЛП) считали случай выявленного фиброза в эндометрии женщины без остальных основополагающих морфологических критериев хронического эндометрита (n=1).
Таким образом, чувствительность морфометрического метода диагностики хронического эндометрита (ЧМ) составляет: [79/(79+6)]x100=93%; специфичность (СМ): [4/(4+1)]x100%=80%.
Полученные данные позволяют заключить, что использование морфометрического анализа зон фиброза, выполняемого при помощи программного обеспечения компьютера в течение нескольких минут, повышает чувствительность комплексной диагностики хронического воспаления в слизистой оболочке матки. Внедрение этого метода в рутинную практику может увеличить чувствительность алгоритма (гистероскопия+обзорная гистология) с 75% до 93% без значительных материальных затрат на оборудование и реактивы для иммуногистохимии.
Заключение
Проведенное исследование показало, что хронический эндометрит, ассоциированный с бесплодием, характеризуется комплексом взаимосвязанных патоморфологических изменений слизистой оболочки матки. Кроме лимфо-гистио-плазмоцитарной инфильтрации, лимфоидных фолликулов, гемодинамических нарушений, важным патогенетическим звеном и высокоинформативным диагностическим критерием данной патологии является развитие перигландулярного и периваскулярного фиброза эндометрия. Установлено, что морфометрический анализ фиброзированных участков слизистой оболочки матки является относительно дешевым и легковоспроизводимым методом верификации хронического эндометрита. Использование морфометрии зон фиброза в пайпель-биоптатах эндометрия позволяет повысить чувствительность гистологической диагностики хронического эндометрита до 93%, в связи с чем может быть рекомендовано женщинам с бесплодием в качестве альтернативы иммуногистохимической диагностике при невозможности осуществления последней.
Конфликт интересов
Библиографическая ссылка
Кулида Л.В., Проценко Е.В. МОРФОЛОГИЧЕСКАЯ ДИАГНОСТИКА ХРОНИЧЕСКОГО ЭНДОМЕТРИТА ПРИ БЕСПЛОДИИ: СОВРЕМЕННЫЕ ПОДХОДЫ, ПЕРСПЕКТИВЫ ПРИМЕНЕНИЯ МОРФОМЕТРИЧЕСКОГО АНАЛИЗА // Современные проблемы науки и образования. 2025. № 6. ;URL: https://science-education.ru/ru/article/view?id=34373 (дата обращения: 20.05.2026).
DOI: https://doi.org/10.17513/spno.34373



