Введение
Нейтронозахватная терапия (НЗТ) является бинарным методом лучевой терапии рака. Ее преимущество заключается в селективной доставке ионизирующего излучения непосредственно к раковым клеткам. Эта селективность достигается за счет активного накопления терапевтических соединений в опухолевых клетках и использования элементов с высоким сечением захвата нейтронов. В доклинических и клинических исследованиях НЗТ использовались борсодержащие соединения, обогащенных изотопом 10B (сечение захвата нейтронов 3840 барн), – метод, известный как бор-нейтронозахватная терапия (БНЗТ). Клиническая эффективность БНЗТ обусловлена ядерной реакцией, которая происходит при захвате нейтрона атомом 10B, что приводит к испусканию альфа-частицы, которая представляет собой излучение с высокой линейной передачей энергии (ЛПЭ). Общая длина пути продуктов реакции составляет приблизительно размер клеток млекопитающих, что обеспечивает избирательное повреждение внутри раковых клеток [1, с. 1]. Исследования показали, что относительная биологическая эффективность (ОБЭ) излучения с высокой ЛПЭ (например, нейтронная терапия, терапия альфа-частицами) в несколько раз выше, чем у видов излучения с низкой ЛПЭ (таких как фотонная терапия, протонная терапия, используемые в традиционной радиотерапевтической практике) [2]. Однако БНЗТ является дорогостоящим методом из-за необходимости синтеза и обогащения соединений 10B, таких как борофенилаланин (BPA), который наиболее широко используется в исследованиях [3]. Высокая стоимость этих соединений ограничивает возможность использования этой технологии в клинических исследованиях для лечения злокачественных опухолей у животных.
Гадолиний-нейтронозахватная терапия (ГНЗТ) считается альтернативой БНЗТ, поскольку гадолиний обладает самым высоким сечением захвата нейтронов среди всех элементов (46 000 барн для естественной смеси изотопов 157Gd и 155Gd); при захвате ядрами гадолиния нейтронов происходит ядерная реакция с испусканием гамма-фотона (излучение с низкой ЛПЭ), при этом радиус действия излучения намного больше размера клетки млекопитающего (несколько сантиметров); реакция также производит Оже электроны (излучение с высокой ЛПЭ), что может вызывать разрывы двухцепочечной ДНК, когда гадолиний локализуется внутриклеточно [4]. Еще одним преимуществом гадолиния является его превосходная визуализация в опухолях с помощью магнитно-резонансной томографии (МРТ), что делает его тераностическим агентом в радиотерапии [5]. Поэтому контрастные агенты для МРТ на основе гадолиния можно рассматривать как агенты для НЗТ.
Лучевая терапия является методом выбора для большинства опухолей носа, новообразований головы и шеи, метастатических опухолей и инфильтративных опухолей мягких тканей у животных, где хирургическое вмешательство несет высокий риск осложнений или смертности [6, 7]. Доклинические исследования новых методов лучевой терапии у домашних животных со спонтанными опухолями могут заполнить важную нишу между исследованиями на грызунах и людях, в конечном итоге обеспечивая ценные прогностические, трансляционные биологические и клинические результаты для пациентов [8].
Авторы в предыдущем исследовании впервые попытались использовать контрастный агент для МРТ Gd-DTPA (gadopentetate dimeglumine, гадопентетат димеглюмина) при проведении ГНЗТ с использованием источника нейтронов на основе ускорителя, в максимальной рекомендуемой дозировке 0,6 мл на 1 кг массы тела. Однако авторы не достигли значительного терапевтического эффекта ни в одном из семи случаев с животными [9]. Учитывая ограниченное количество публикаций, демонстрирующих эффективность ГНЗТ на моделях опухолей у лабораторных животных с использованием гадобутрола, в данном исследовании авторы попытались использовать этот контрастный агент в субтоксических дозах на домашних животных со спонтанно развившимися злокачественными опухолями и провели облучение на канале ядерного реактора с высокой плотностью потока нейтронов. Авторы стремились сравнить эти результаты с предыдущими выводами и изучить возможность повышения эффективности терапии.
Целью данного исследования была оценка безопасности и эффективности гадолиний-нейтронозахватной терапии.
Материалы и методы исследования
Исследование проведено на 8 животных – Кот № 1, 15 лет; Кот № 2, 11 лет; Собака № 3, 11 лет; Собака № 4, 10 лет; Собака № 5, 9 лет; Собака № 6, 12 лет; Собака № 7, 9 лет; Собака № 8, 10 лет.
Животные, выбранные для исследования, имели инфильтративный рак, который было трудно или невозможно удалить хирургическим путем из-за возможных осложнений или риска смерти, или имело место появление рецидива опухоли. В исследование также вошли животные, которые проходили химиотерапию. Животные должны были находиться в удовлетворительном состоянии, чтобы перенести анестезию с возможностью последующего клинического наблюдения в течение более трех месяцев.
Сеансы ГНЗТ проводились на исследовательском ядерном реакторе ИРТ-Т Национального исследовательского Томского политехнического университета. Для облучения использовался канал ГЭК-1. Интегральная плотность потока нейтронов в канале составила 3×108н/см²·с. Средняя энергия нейтронов составила 0,2 эВ. Продолжительность каждого сеанса облучения варьировалась от 35 до 45 минут.
Гадобутрол (Гадовист®, Bayer AG, Leverkusen, Germany) в концентрации 1 ммоль/мл вводили внутривенно болюсно непосредственно перед началом облучения в расчетной дозе 0,7 мл (0,7 ммоль/мл) на 1 кг массы тела. Рекомендуемая доза для клинической МРТ составляет 0,1 мл/кг (0,1 ммоль/мл), максимальная доза – 0,3 мл/кг (0,3 ммоль/мл) [10].
В образцах крови животных анализировали концентрацию гадолиния. Образцы крови анализировали с помощью атомно-эмиссионной спектрометрии с индуктивно связанной плазмой (ICP-AES) на спектрометре CID iCap-6500 (Thermo Scientific, Waltham, MA, USA). Образцы собирали из яремной вены в пробирки объемом 1 мл между двумя сеансами облучения и/или после завершения облучения в случае одного сеанса.
В каждом случае от владельцев животных перед лечением было получено информированное согласие. Эксперименты проводили в соответствии с этическими принципами 3R, придерживаясь принципов гуманного обращения, изложенных в Директиве Европейского сообщества (86/609/EEC). Протокол исследования был одобрен Этическим комитетом Института цитологии и генетики СО РАН, Новосибирск, решение № 142 от 2 февраля 2023 г.
Результаты исследования и их обсуждение
Животное № 1, 15 лет.
У животного имеются опухоль в мягких тканях тазовой полости, предположительно в предстательной железе, с метастазированием в левый крестцовый лимфатический узел, а также признаки отдаленных метастазов в паренхиму легких. Хирургическое лечение, облучение или химиотерапия не проводились. Была выполнена пункция и получено цитологическое заключение: карцинома предстательной железы.
ГНЗТ была выполнена 25.04.2024 г., Гадовист вводили внутривенно, болюсно в дозе 0,7 мл/кг (2,4 мл) перед первой фракцией. Проведены две фракции облучения, продолжительностью 30 и 25 минут соответственно. Облучалась область таза, животное располагалось спиной вперед на пути пучка, с разведенными в стороны задними конечностями. Вторая фракция была направлена на верхний левый квадрант грудной клетки с поднятой передней лапой. Концентрация гадолиния в крови: 193 мкг/г после первой фракции и 166 мкг/г после второй фракции.
Состояние животного после ГНЗТ оставалось удовлетворительным, аппетит сохранен, животное активно (рис. 1а, 1b). Данные компьютерной томографии (КТ) до и после ГНЗТ показаны на рисунках 1c и 1d.

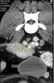
Рис. 1. Общее состояние животного № 1 до (а) и после ГНЗТ терапии (b), данные КТ до (с) и после (d) ГНЗТ
Следует отметить, что по данным КТ от 14.04.2024 г. до ГНЗТ (рис. 1c) определяется мягкотканное новообразование в полости малого таза, вероятно, из предстательной железы, имеющее размеры: 1,9×3,5×2,8 см. По данным КТ в динамике через 1,5 месяца (08.06.2024 г.) после ГНЗТ (рис. 1d) размеры опухоли в полости малого таза увеличились: 2,2×2,4×4,3 см. Крестцовый лимфатический узел слева значительно увеличился: 1,55×1,64×1,76 см, что свидетельствует о вероятном наличии метастаза.
Следует отметить, что после процедуры кот похудел на 300 г (с 3,4 кг до 3,1 кг), поведение животного стало более активным, при этом сохранились проблемы с мочеиспусканием и требовался массаж простаты. Последующая КТ через 1,5 месяца после ГНЗТ показала, что объем опухоли увеличился и в лимфатическом узле развился метастаз.
Животное № 2, 11 лет, с локализацией опухоли в перибронхиальной каудальной доле левого легкого с метастазами в легкие. До проведения данного исследования было выполнено хирургическое лечение: от 08.01.2024 г.: лобэктомия каудальной доли правого легкого с заключением о наличии высокодифференцированной аденокарциномы левого легкого и с выраженной хронической гранулематозной пневмонией.
ГНЗТ была выполнена через 3 месяца после операции (25.04.2024 г.): Гадовист вводится внутривенно болюсно в дозе 0,7 мл/кг (2,5 мл) перед однократной фракцией облучения продолжительностью 35 мин. После облучения концентрация гадолиния в крови составила 389 мкг/г.
Необходимо отметить, что состояние животного № 2 до ГНЗТ считалось удовлетворительным (рис. 2a). Животному также выполнялась КТ в динамике до и после ГНЗТ, снимки показаны на рисунках 2b, 2c, 2d).

Рис. 2. Общее состояние животного № 2 до (a) и после ГНЗТ терапии (f); данные КТ до (b) и после (c, d) ГНЗТ
По полученным данным КТ от 19.04.2024 г. до ГНЗТ (рис. 2b) визуализируется твердая минерализованная масса в каудальной доле левого легкого, с однородным контрастным усилением (отмечено красным маркером) с размерами: 1,9×2,0×1,6 см. Через 3 месяца по данным КТ от 11.07.2024 г. после выполненной ГНЗТ (рис. 2c, 2d) твердая масса в указанной локализации увеличилась в размерах до 2,7×2,52×2,47 см. Общее состояние животного № 2 после ГНЗТ можно было отметить как неудовлетворительное, так как через неделю после облучения аппетит животного снизился, была отмечена потеря массы в 600 г. Но питание удалось нормализовать, и через 1,5 месяца после процедуры активность и игривость животного № 2 возросли. Примерно в это же время хозяевами было отмечено выпадение шерсти на спине и животе животного (рис. 2f). По состоянию на август 2024 года животное активно, хорошо ест и не имеет проблем с дефекацией.
Животное № 3, 11 лет, с локализацией опухоли в левой перианальной железе. Ранее хирургическое лечение, лучевая терапия или химиотерапия не проводились. Гистологическое заключение по данным биопсии: карцинома.
28.02.2024 г. была выполнена ГНЗТ, Гадовист вводился внутривенно болюсно в дозе 0,7 мл/кг (15 мл) перед первой фракцией. Было проведено две фракции: 45 минут облучения левой половины брюшной полости и 30 минут перианальной области. Отмечалась следующая концентрация гадолиния в крови: после 1-й фракции – 313 мкг/г; после 2-й фракции – 42 мкг/г.
Общее состояние животного № 3 до ГНЗТ оценивалось как относительно удовлетворительное.

Рис. 3. Общее состояние животного № 3 до ГНЗТ (a); данные КТ до (b) и после ГНЗТ (c, d)
Общее состояние животного после ГНЗТ (рис. 3a). По данным КТ от 14.02.2024 г. до ГНЗТ (рис. 3b) визуализируются неопластический процесс в левой параанальной железе, лимфаденопатия поверхностных паховых, глубоких паховых, медиальных подвздошных, гипогастральных и крестцовых лимфатических узлов. Размер опухоли определяется как 3,2×3,3×2,7 см. Через два месяца после ГНЗТ по данным КТ (от 18.04.2024 г., рис. 3с) отмечается отрицательная динамика: размер опухоли увеличился до 3,7×5,2×2,9 см, а также визуализируются увеличенные лимфатические узлы с признаками некроза. По данным КТ (от 02.07.2024 г., рис. 3d) через пять месяцев после ГНЗТ прослеживается продолжающаяся отрицательная динамика: размер опухоли увеличился до 4,3×3×3,5 см, появились метастазы в лимфатических узлах.
После облучения у собаки наблюдались черный жидкий стул (напоминающий по консистенции малиновое желе), рвота, повышенное слюнотечение, потеря аппетита, отказ от воды, слабость, перемежающаяся лихорадка, кратковременные периоды одышки и потеря веса на 2 кг. Эти осложнения регрессировали через две недели. На коже живота в облученной области появилось покраснение. По состоянию на август 2024 года собака остается активной, клинических симптомов нет.
Животное № 4, 10 лет. Расположение опухоли: перианальная железа с метастазами в брюшные лимфатические узлы. Хирургическое лечение, лучевая терапия или химиотерапия ранее не выполнялись. По данным гистологического исследования: имеется эпителиальная карцинома.
ГНЗТ № 1 (14.03.2024 г.): Гадовист вводился внутривенно болюсно в дозе 0,7 мл/кг (17,2 мл) перед первой фракцией: две фракции по 40 минут каждая, облучение брюшной полости и перианальной области. Концентрация гадолиния в крови: 209 мкг/г после второй фракции.
ГНЗТ № 2 (11.06.2024 г.): Гадовист вводился внутривенно болюсно в дозе 0,7 мл/кг (17 мл) перед первой фракцией – две фракции по 35 минут каждая, облучение брюшной полости и перианальной области. Концентрация гадолиния в крови на уровне 300 мкг/г после второй фракции.
Состояние животного до ГНЗТ удовлетворительное, показано на рисунке 4а.


(a) (b)

(c)



(d)



(f)


(g) (h)
Рис. 4. Общее состояние животного № 4 до (a) и после ГНЗТ терапии (g, h); данные КТ до ГНЗТ № 1 (b, с, d) и после ГНЗТ № 2 (f)
По данным КТ от 01.03.2024 г. до ГНЗТ № 1 (рис. 4b) визуализируются неопластический процесс перианальной железы, метастазы в абдоминальные лимфатические узлы, парааортальные и паравезикальные лимфатические узлы (рис. 4c). В динамике по данным КТ от 11.05.2024 г. после ГНЗТ № 1 (рис. 4d) визуализируется опухоль в перианальной железе, размеры остались неизменными и составили 2,3×1,8×2,4 см, при этом увеличился размер метастазов в подвздошных лимфатических узлах, выявлены новые метастатические поражения в легких и селезенке. После выполнения ГНЗТ № 2 (11.06.2024 г.) в динамике по данным КТ (от 09.07.2024 г., рис. 4f) размер опухоли перианальной железы также не изменился, отмечено еще большее увеличение размеров метастазов в лимфатических узлах, но после двух сеансов ГНЗТ произошло видоизменение шерстяного и кожного покровов (рис. 4h).
Объективно после ГНЗТ № 1 у животного № 4 сохранялся хороший аппетит, оно оставалось активным и проявляло интерес к окружающему миру. Несмотря на стабильное состояние животного, по данным КТ было отмечено прогрессирование опухоли, что побудило принять решение о проведении второго сеанса облучения 11.06.2024 г. Кожа в перианальной области до первого облучения была нормальной (рис. 4g).
После ГНЗТ № 2 было отмечено, что аппетит у собаки нормализовался через три дня после процедуры, стул улучшился по консистенции и размеру, с регрессом случаев непроизвольной дефекации. Собака оставалась активной. Выпадение шерсти в месте облучения началось постепенно после второго сеанса. Отмечалось потемнение кожи в перианальной области с последующим образованием небольших корочек и шелушением, с обнажением свежей розовой кожи (рис. 4h).
Животное № 5, 9 лет. Расположение опухоли: носоглотка и селезенка.
Хирургическое лечение, лучевая терапия или химиотерапия ранее не выполнялись. По данным гистологического исследования имеется плоскоклеточная карцинома.
ГНЗТ от 14.03.2024 г.: Гадовист вводился внутривенно болюсно 0,7 мл/кг (30 мл) перед первой фракцией – две фракции, по 35 и 40 минут каждая, с облучением носовой и брюшной области.
Концентрация гадолиния в крови была на уровне 178 мкг/г после первой фракции и 86 мкг/г после второй фракции.
Состояние животного до ГНЗТ удовлетворительное, показано на рисунке 5а.

Рис. 5. Общее состояние животного № 5 до ГНЗТ (a); данные КТ – носоглотка (b – аксиальная плоскость, c – корональная плоскость), селезенка (d – аксиальная плоскость)
По данным КТ (от 01.03.2024 г., рис. 5b, 5c) до ГНЗТ визуализируются опухоль в носовой полости размерами 3,0×1,1 см, а также образование в селезенке размером 7,2×11,5×8 см (рис. 5d).
Через десять дней после процедуры собаке дополнительно начали проводить курс противоопухолевого препарата, ингибитора протеинкиназы – Филахромин (Иматиниб). Субъективно владелец сообщил о небольшом снижении активности и интереса к прогулкам. К началу мая опухоль в носу увеличилась в размерах и начала кровоточить, когда собака чихала. Наблюдалось выпадение шерсти на животе. Собака стала слабой и вялой, проводила большую часть времени во сне и проявляла меньший интерес к прогулкам, хотя аппетит оставался хорошим, потери веса не было. Также были отмечены затруднения дыхания во время сна. КТ от 04.07.2024 г., через три месяца после ГНЗТ, выявила прогрессирование заболевания с увеличением опухоли носоглотки до 6,1×1,8 см и метастазами в подчелюстные лимфатические узлы (на данный момент изображения отсутствуют). Размеры опухолевой массы в селезенке оставались стабильными и составляли 13,3×10,2 см.
Животное № 6, 12 лет, с расположением опухоли в носовой полости и носоглоточном тракте. Хирургическое лечение, лучевая терапия или химиотерапия ранее не выполнялись. По данным гистологического исследования имеется плоскоклеточная карцинома.
ГНЗТ от 25.04.2024 г.: Гадовист вводился внутривенно болюсно 0,7 мл/кг (11,5 мл) перед первой фракцией – одна фракция, 30 минут, облучение носовой области. Концентрация гадолиния в крови: 136 мкг/г после первой фракции.
Состояние животного после ГНЗТ оставалось удовлетворительным, показано на рисунке 6а.

Рис. 6. Общее состояние животного № 6 после ГНЗТ (a); данные КТ после ГНЗТ (b)
По данным КТ от 21.04.2024 г. (рис. 6a) до ГНЗТ визуализируется образование в носовой полости размерами 2,9×3,2×6,8 см. В динамике КТ через 3 месяца (от 11.07.2024 г., рис. 6b) отмечается прогрессирование заболевания с увеличением размера опухоли до 3,2×3,7×6,9 см и инвазией в окружающие ткани.
Объективно после ГНЗТ состояние животного № 6 ухудшилось: примерно через полторы недели после процедуры у животного отмечались сильное носовое кровотечение и высмаркивание рыхлых масс ткани, напоминающих фрагменты опухоли (грубые и плотные по текстуре). После этого дыхание собаки стало легче, хрипы уменьшились.
Животное № 7, 9 лет. Отмечается опухоль в мягких тканях резцовой части нижней челюсти. При этом хирургического лечения, облучения или химиотерапии не выполнялось. По данным гистологического исследования имеется крупноклеточная опухоль, гистиоцитома.
ГНЗТ (14.03.2024 г.): Гадовист вводился внутривенно болюсно в дозе 0,7 мл/кг (19 мл) перед первой фракцией – одна фракция, 40 минут, облучение носовой области. Концентрация гадолиния в крови на уровне 87 мкг/г после первой фракции.
Состояние животного до ГНЗТ удовлетворительное, показано на рисунке 7а.

Рис. 7. Общее состояние животного № 7 до ГНЗТ (a); данные КТ до ГНЗТ (b) и после (с)
По данным КТ (23.02.2024 г., рис. 7b), до ГНЗТ визуализируется образование в резцовой части нижней челюсти с левой стороны с размерами 2,5×1,3×1,8 см. В динамике по данным КТ (от 23.07.2024 г., рис. 7c) после проведенной терапии отмечается положительная динамика без признаков наличия образования.
Было отмечено, что в первые две недели после облучения у животного № 7 наблюдались снижение аппетита, рвота и снижение активности. Через две недели аппетит и уровень активности улучшились, а наблюдаемые до проведения ГНЗТ выделения из полости носа прекратились. По словам владельца, у животного наблюдались заметное улучшение аппетита и повышение активности – до соответствующей его возрасту, а видимый размер опухоли заметно уменьшился, примерно на 50%.
Животное № 8, 10 лет. Имеется опухоль в предстательной железе. Была проведена таргетная терапия с Zelboraf (Vemurafenib, La Roche Ltd). По данным гистологического исследования: эпителиальный рак.
ГНЗТ (14.03.2024 г.): Гадовист вводился внутривенно болюсно в дозе 0,7 мл/кг (7,8 мл) перед первой фракцией – две фракции, 40 минут и 30 минут, направленные на обе стороны опухоли.
Концентрация гадолиния в крови: 200 мкг/г после первой фракции, 87 мкг/г после второй фракции.
Состояние животного до и после ГНЗТ оставалось удовлетворительным, показано на рисунках 8а, 8b.

Рис. 8. Общее состояние животного № 8 до (a) и после (b) ГНЗТ; данные КТ до ГНЗТ (с, d) и после ГНЗТ (е, f)
По данным КТ от 23.02.2024 г. (рис. 8c, 8d) до ГНЗТ визуализируется опухоль простаты размерами 1,1×1,7×1,4 см. В динамике: КТ от 11.05.2024 г. (рис. 8e, 8f) показала распространение опухоли на мочевой пузырь, особенно в области шейки мочевого пузыря и треугольника, при этом опухоль простаты уменьшилась в размерах до 0,5×0,9×0,6 см.
Было отмечено, что сразу после облучения побочных эффектов не наблюдалось. Животное № 8 оставалось активным и энергичным. Через неделю после ГНЗТ на облученных участках появились покраснение, выпадение волос, болезненность при прикосновении. Частота мочеиспускания уменьшилась. Однако через два месяца после ГНЗТ животное потеряло 1 кг веса, аппетит снизился. Во время дефекации отмечалось натуживание, а диаметр каловых масс стал меньше. КТ через три месяца после ГНЗТ показала, что опухоль распространилась на мочевой пузырь, что побудило принять решение о проведении второго сеанса ГНЗТ в перспективе.
Характеристики животных, включая локализацию опухоли, схемы лечения, концентрацию гадолиния в крови и клинические результаты, обобщены в таблице 1.
Таблица 1
Характеристики животных, схемы лечения, концентрации гадолиния в крови и клинические результаты
|
№, Вид, Возраст |
Вес, кг |
Локализация опухоли, гистологический диагноз |
Дата облучения |
Продолжительность сеанса облучения и количество фракций |
Доза (на 1 кг массы тела), кратность и время введения (за сколько до облучения и во время облучения) |
Концентрация гадолиния в крови, мкг/г, после 1-й фракции |
Концентрация гадолиния в крови, мкг/г, после облучения |
Зарегистрированные побочные эффекты после введения препарата и облучения |
Исход |
|
№ 1, 15 лет |
3,4
|
Предстательная железа, лимфатический узел и легкие, карцинома |
25.04.2024 г. |
Фракций – 2, время – 30 min и 25 min |
0,7 мл/кг (2,4 мл) перед облучением |
193 |
166 |
Снижение массы тела |
Прогрессирование (метастазирование в ЛУ) по данным КТ
|
|
№ 2, 11 лет |
4.1 |
Легкие, аденокарцинома |
25.04.2024 г. |
фракций – 1, 35 min |
0,7 мл/кг (2,5 мл) перед облучением |
– |
389 |
Снизился аппетит, похудела на 600 г. Через 1,5 месяца выпала шерсть в области спины и живота |
Прогрессирование – продолженный рост по данным КТ |
|
№ 3, 11 лет |
21.1 |
Параанальная железа, карцинома |
28.02.2024 г. |
Фракций – 2, 45 min на брюшную полость, 30 min на параанальную область |
0,7 мл/кг (15 мл) перед первой фракцией |
313 |
42 |
Черный, жидкий стул, рвота, слюнотечение, снижение аппетита, слабость, периоды повышения температуры, периодическая одышка, снижение массы тела на 2 кг. Через 2 недели вышеперечисленные осложнения регрессировали. На коже живота в проекции облучаемой области появилось покраснение |
Прогрессирование – продолженный рост по данным КТ |
|
№ 4, 10 лет |
24 |
Параанальная железа; эпителиальная опухоль – карцинома |
14.03.2024 г. |
Фракций – 2, по 40 min облучали брюшную полость и параанальную область |
0,7 мл/кг (17,2 мл) перед первой фракцией |
– |
209 |
– |
Прогрессирование, размеры опухоли параанальной железы без существенных изменений, увеличение размеров метастазов в подвздошных лимфатических узлах |
|
11.06.2024 г. |
Фракций – 2, по 35 min |
0,7 мл/кг (17 мл) перед первой фракцией |
– |
300 |
Аппетит восстановился после процедуры через 3 дня. На месте облучения шерсть начала выпадать постепенно только после второго облучения. Потемнела кожа в перианальной области, которая стала покрываться мелкими корочками и сшелушиваться с обнажением свежей кожи розовой окраски |
Прогрессирование, размеры опухоли параанальной железы без изменений; увеличение размеров mts лимфатических узлов |
|||
|
№ 5, 9 лет |
42,2 |
Носоглотка, селезенка; плоскоклеточная карцинома |
14.03.2024 г. |
Фракций – 2, 35 и 40 min, облучали нос и брюшную полость |
0,7 мл/кг (30 мл) перед первой фракцией |
178 |
86 |
Облезла шерсть на животе |
Прогрессирование – продолженный рост по данным КТ |
|
№ 6, 12 лет |
16 |
Носовой и носоглоточный ход; плоскоклеточная карцинома |
25.04.2024 г. |
Фракций – 1, 30 min |
0,7 мл/кг (11,5 мл) перед первой фракцией
|
– |
136 |
Носовое кровотечение и вышли рыхлые тканевые массы через 1,5 недели после ГНЗТ |
Прогрессирование – продолженный рост по данным КТ 11.07.2024 г. |
|
№ 7, 9 лет |
27 |
Нижняя челюсть, гистиоцитома |
14.03.2024 г. |
Фракций – 1, 40 min |
0,7 мл/кг (19 мл) перед первой фракцией |
– |
87
|
Через 2 недели после ГНЗТ – снижение аппетита, рвота, снижение активности |
Полный ответ по данным КТ |
|
№ 8, 10 лет |
11,2 |
Предстательная железа, эпителиальный рак |
14.03.2024 г.
|
Фракций – 2, 40 min и 30 min
|
0,7 мл/кг (7,8 мл) |
200 |
87 мкг/г |
Места облучения покраснели, стала выпадать шерсть, отмечалась болезненность кожи |
Прогрессирование – продолженный рост по данным КТ |
Хелатированные комплексы гадолиния, широкодоступные для клинической МРТ, являются наиболее доступными для исследований и клинического применения. Отмечается высокое поглощение контрастных веществ для клинической МРТ опухолевыми клетками в течение 5 минут с последующим быстрым вымыванием из опухоли [4]. Это можно компенсировать введением препарата в более высоких дозах с помощью многократных инъекций.
Чтобы улучшить терапевтический эффект ГНЗТ, с учетом данных предыдущего исследования, в котором авторы использовали Gd-DTPA [9], в этом исследовании авторы использовали другой клинический агент для МРТ – гадобутрол, в высоких субтоксичных дозах. Авторами было найдено одно упоминание в публикациях о проведении ГНЗТ с гадобутролом на реакторе Института Хана-Майтнера в Берлине, где наблюдались значительные терапевтические эффекты при его интратуморальном введении в дозе 1,2 ммоль Gd/кг (в четыре раза больше максимальной клинической дозы) на модели опухоли меланомы человека у мышей Nude [13].
Дозировка гадобутрола 0,1 мл/кг, вводимая внутривенно, считается достаточной для визуализации контрастного усиления в опухолевой ткани на МРТ. Максимальная доза, используемая в клинической МРТ, составляет 0,3 мл/кг. В исследовании авторы использовали дозу гадобутрола 0,7 мл/кг внутривенно, что в семь раз превышает рекомендуемую дозу для визуализации опухоли и более чем вдвое превышает максимальную рекомендуемую дозу. Эта дозировка привела к концентрации гадолиния в крови у исследуемых животных от 42 до 389 мкг/мл. Обычно концентрация гадолиния в крови коррелирует с концентрацией опухоли в соотношении 1:1 [7]. По некоторым данным, для эффективной ГНЗТ требуется концентрация гадолиния 50–200 мкг/г в опухоли, а концентрации гадолиния до 300 мкг 157Gd/г в опухолях мозга могут быть достигнуты с помощью контрастного агента для МРТ, такого как Gd-DTPA, вводимого внутривенно в дозе 0,5 ммоль/кг массы тела [11]. Также важно учитывать возможность «экранирующего эффекта» в более глубоких областях опухоли, когда концентрации гадолиния превышают 1000 мкг/г, поскольку нейтроны могут истощаться на поверхности опухоли, не давая им проникать в более глубокие области [12]. Поэтому концентрации гадолиния, которых авторы достигли в крови у животных, были оптимальными в соответствии с рекомендациями для ГНЗТ.
Однако, как и в предыдущем исследовании авторов [9], результаты ГНЗТ различных типов рака у кошек и собак показали, что коммерческие хелаты гадолиния, используемые в клинической МРТ, в том числе гадобутрол, не подходят для ГНЗТ, показывая неудовлетворительные результаты, вероятно, из-за их низкого накопления в раковых клетках, внеклеточной локализации и быстрого выведения, несмотря на использование высоких субтоксичных доз для внутривенной инъекции. В данном исследовании авторов значительный терапевтический эффект, приведший к полной регрессии опухоли, наблюдался у одного животного (№ 7). Однако у остальных животных прогрессирование заболевания было отмечено в раннем периоде после ГНЗТ (от 1 до 3 месяцев), что проявилось в виде легкого или умеренного увеличения опухоли по данным КТ, а также на это указывали появление отдаленных метастазов и ухудшение общего состояния животных. Учитывая ограниченное количество публикаций, демонстрирующих эффективность ГНЗТ на моделях опухолей у лабораторных животных, данное исследование авторов не смогло показать устойчивого положительного эффекта ГНЗТ с гадобутролом на спонтанные злокачественные опухоли у животных с использованием ядерного реактора по сравнению с аналогичной группой животных в предыдущем исследовании, получавших ГНЗТ с Gd-DTPA с использованием источника нейтронов на основе ускорителя [9]. Низкая эффективность ГНЗТ в этом исследовании, вероятно, обусловлена степенью, глубиной и инфильтративным характером роста спонтанных опухолей, недостаточной концентрацией гадобутрола, его внеклеточной локализацией и быстрым вымыванием из опухолевой ткани, несмотря на инъекцию непосредственно перед облучением в высокой субтоксической дозе. Тем не менее, технические вопросы доставки ГНЗТ, изученные в данном случае, могут быть использованы для дальнейшей разработки этого адъювантного метода и улучшения его клинического применения.
Достижение клинического эффекта с помощью ГНЗТ и коммерческих хелатов гадолиния может быть возможным при интратуморальной инъекции в более высоких дозах [12, 13]; однако этот метод представляет клинические проблемы из-за частых трудностей при введении препарата, таких как наличие костных барьеров, глубокое расположение опухоли, большой объем опухоли, инфильтративный и мультифокальный рост опухоли и невозможность четко локализовать границы опухоли с помощью ультразвукового исследования.
Заключение
Согласно многочисленным доклиническим исследованиям in vitro и in vivo, ГНЗТ по-прежнему является перспективным методом лечения рака. Этот подход может стать доступной альтернативой БНЗТ и позволяет провести изучение эффективности терапии и ее технических проблем, поскольку природный гадолиний имеет наибольшее сечение захвата нейтронов, что означает, что соединения, содержащие гадолиний, можно использовать для терапии без дополнительного обогащения. Поэтому необходимы дальнейшие исследования для достижения более высоких результатов лечения, сосредоточение на более перспективных производных на основе гадолиния, способных избирательно накапливаться в опухолевых клетках в более высоких концентрациях с относительно длительным депонированием в опухолевой ткани.
Библиографическая ссылка
Каныгин В.В., Кичигин А.И., Кудлай Д.А., Наймушин А.Г., Аникин М.Н., Каныгин Н.В., Левченко И.Д., Гусельникова Т.Я., Исикава Э..., Заборонок А.А. ПРЕДКЛИНИЧЕСКИЕ ИССЛЕДОВАНИЯ ГАДОЛИНИЙ-НЕЙТРОНОЗАХВАТНОЙ ТЕРАПИИ ЗЛОКАЧЕСТВЕННЫХ ОПУХОЛЕЙ // Современные проблемы науки и образования. 2024. № 6. ;URL: https://science-education.ru/ru/article/view?id=33779 (дата обращения: 26.03.2026).
DOI: https://doi.org/10.17513/spno.33779



