Диагностика очаговой (узловой) патологии щитовидной железы (ЩЖ) постоянно совершенствуется, внедряются новые технологии и методики. Работа российских и международных сообществ эндокринологов направлена на более широкое внедрение новых методов диагностики и лечения [1], которые достаточно гармонично «вписываются» в существующие алгоритмы лечения пациентов [2]. Широкое внедрение в практику современных методов диагностики патологии ЩЖ, включающее общепринятые и креативные методики, создает определенные трудности перед специалистами первичного звена. Подчас, не обладая достаточными компетенциями в конкретных диагностических технологиях, врачи-практики испытывают трудности в интерпретации результатов этих исследований. Постоянно увеличивающийся арсенал различных диагностических методов, как инструментальных, так и лабораторных, формирует перед врачами сложную задачу. Порой это близко по смыслу к задаче «сопоставить несопоставимое», когда технология врачу непонятна, а интерпретация полученных результатов неоднозначна и требует дальнейшего переосмысления. Решением ситуации видится внедрение персонализированного подхода для оптимизации диагностики и лечения. Врачу первичного звена в оценке результатов исследования необходимо определиться с диагнозом, объемом обследования и лечением у конкретного пациента. Конечной целью «персонализации» является получение достоверного развернутого диагноза и определение индивидуальной лечебной тактики. В эндокринологии одним из наглядных примеров внедрения персонализации стало создание систем стратификации риска рака ЩЖ, которые сегодня используются специалистами всего мира очень широко. Сегодня увеличивающийся объем информации часто пытаются проанализировать за счет привлечения искусственного интеллекта (ИИ). Вместе с тем необходимо понимать, что совершенствование ИИ и развитие методов системного анализа должно базироваться на большом фактическом материале, на оценках специалистов конкретного профиля.
Сегодня узлы ЩЖ выявляются в 4-7% при пальпации и в 19-67% при УЗИ [3; 4], поэтому с пациентами с этой патологией приходится часто встречаться как эндокринологам, так и хирургам. Подход «тотального обследования» этих пациентов приводит к резкому возрастанию расходов, а взвешенный подход снижает затраты [5] на здравоохранение. Принятие решения требует от эндокринолога и хирурга компетенций и интуиции. Появление системы Thyroid Imaging Reporting and Data System (TIRADS) дало врачам УЗИ обоснованный научный аппарат для определения показаний к ТАПБ [6], а система Bethesda повысила эффективность труда цитологов [7]. УЗИ и цитологическое исследование являются важными этапами диагностического алгоритма при узлах ЩЖ [8]. Заключительными звеньями алгоритма являются эндокринологи и хирурги, которые анализируют результаты исследования, определяют тактику и проводят лечение [9]. С учетом появления в научной литературе данных о результатах внедрения систем стратификации по раку ЩЖ (так называемых экспертных систем по распознаванию образов и сигналов) [10], изменению работы специалистов УЗИ [11] и цитологов, научный и практический интерес представляет оценка качества работы эндокринологов и хирургов при расширении их компетенций. Ранее уже предпринимались попытки проведения опросов среди врачей первичной медико-санитарной помощи и ординаторов по определению их знаний и практических навыков при первичной оценке узлов ЩЖ и их соответствию рекомендациям ассоциации эндокринологов (12). Однако применение TIRADS и Bethesda в этих работах не оценивалось.
Цель исследования - выявить различия в индивидуальных оценках специалистов при диагностике и выборе персональной тактики у пациентов с патологией щитовидной железы в условиях внедрения международных аналитических систем.
Материалы и методы исследования. Было выполнено ретроспективное когортное неранжированное простое с независимой экспертной оценкой исследование, в ходе которого 12 испытуемых врачей-экспертов (6 врачей-эндокринологов и 6 врачей-хирургов) с различным стажем работы должны были обосновать вероятный диагноз и выбрать предпочтительный вариант лечения на основании представленных данных УЗИ (с учетом применения системы ТИРАДС) и результатов цитологических исследований (с учетом применения системы Bethesda). Материалом исследования стали данные обследования и лечения пациентов с узловой патологией щитовидной железы. Основой для исследования были сведения из базы данных клиники [13], которая включает в себя информацию о 8567 человеках. Всем пациентам были выполнены операции, имелась патоморфологическая верификация препарата, удаленного во время операции. Из общей массы наблюдений методом «случайной выборки» были отобраны 80 клинических случаев, которые стали основой базы данного исследования. В этой базе данных имелись дооперационные протоколы УЗИ и результаты цитологических исследований. Для обеспечения анонимности персональные данные пациентов были удалены, так же как и данные специалистов, проводивших исследования (врачей УЗИ и цитологов). Они были заменены цифровыми идентификаторами. Таким образом, персональный компонент изучаемых данных был максимально «анонимизирован».
Врачам, участвующим в исследовании, предоставляли ограниченные фрагменты обследования пациентов, включающие в себя описания УЗИ органов шеи и ЩЖ, а также описания исследования аспиратов из узлов ЩЖ оперированных пациентов. До 2019 года протоколы УЗИ и цитологические заключения составлялись врачами УЗИ и цитологами произвольно, в общепринятом развернутом описательном варианте с фотофиксацией. При выполнении исследования группа экспертов (авторы статьи) их анализировала и ранжировала, присваивая им градации, согласно Клиническим рекомендациям. Врачам, участвовавшим в исследовании, предоставляли данные в двух вариантах: описательном и дополненном, согласно протоколам систем стратификации (табл. 1).
Таблица 1
Дизайн исследования (группы заключений по содержанию)
|
Содержание оцениваемых протоколов |
Пациенты (номера протоколов исследований) |
|||
|
1-20 |
21-40 |
41-60 |
61-80 |
|
|
Описание УЗИ |
+ |
+ |
|
|
|
Градация TIRADS |
|
+ |
|
|
|
Описание цитологии |
|
|
+ |
+ |
|
Градации Bethesda |
|
|
|
+ |
Каждый из участников исследования получил указанные 80 протоколов с информацией, зная о том, что область исследования касается только очаговых образований ЩЖ. Каждый высказал свое предположение о диагнозе и выбрал тактику лечения, ориентируясь на предлагаемые перечни диагнозов (4 возможных варианта) и методов лечения (4 возможных варианта). Ответ необходимо было обосновать в лаконичной форме. Выбор нескольких диагнозов и тактик был исключен. Не допускались многословие и невнятность обоснования ответа. Во время опроса регистрировалось время, потраченное на ответы протоколов.
Оценка правильности ответов проводилась на основании Клинических рекомендаций по диагностике и лечению узлового зоба [14; 15]. Набор вариантов ответов, относящихся к диагнозу, ограничивался четырьмя нозологиями: узловой коллоидный зоб, многоузловой коллоидный зоб, аденома ЩЖ и рак ЩЖ. Аналогично строилась оценка выбора вариантов тактики лечения. Набор ответов также был ограничен четырьмя вариантами тактики: наблюдение, консервативное лечение, гемитиреоидэктомия, тиреоидэктомия.
При получении ответов рассчитывали «индекс согласия», «индекс дефекта оценки (ошибка)», «конфликт решения» и «время, затраченное на принятие решения». Приоритетной была правильность и обоснованность принятия решения, а не скорость его принятия. Математическая модель исследования была построена по принципу «персональности», направленному не только на установление ошибки принятого решения по каждому пациенту, но и обоснования ошибочного решения. При анализе анкет (ответов), заполненных 12 врачами, отвечавшими на заключения УЗИ и ТАПБ, а также предлагавшими свой выбор лечебной тактики, использовали методику многомерного дискретного пространства. Данная методика обычно применяется для оценки нецифровых различий между объектами и определяет число несовпадений значений признаков у рассматриваемых объектов. Итоговый показатель «правильности заключения» специалиста при выборе диагноза и тактики представляет собой сумму отклонений от реальных диагнозов. Аналогично проводилась оценка «индекса ошибки» при выборе тактики лечения пациентов с узловыми образованиями ЩЖ, которая представляла сумму отклонений выбранных вариантов диагностики и тактики лечения для всех пациентов от оптимальной тактики, соответствующей их реальным диагнозам. Пункт «конфликт решения» возник в ходе исследования, когда специалисты не были готовы дать ответ ввиду своей некомпетентности.
Для установления статистической достоверности различий в работе двух зависимых выборок (групп специалистов) использовали статистику Вилкоксона (непараметрический критерий сравнения).
Результаты исследования и их обсуждение
Представлен анализ данных оценки врачами разных специальностей результатов обследования пациентов с узлами щитовидной железы с применением систем стратификации, направленных на верификацию морфологической диагностики. При оценке правильности принятия решений по диагнозу (УЗИ и цитология) учитывали описания патоморфологических исследований операционных препаратов. При оценке правильности выбора тактики руководствовались международными и российскими клиническими рекомендациями по диагностике и лечению узлового зоба и рака щитовидной железы. Индивидуальные параметры ответов эндокринологов и хирургов были внесены в сводную базу. Полученные на основании расчетов «индекс согласия», «индекс дефекта оценки», «конфликт решения» и «время, затраченное на принятие решения», вносили в отдельные графы. На величину индексов влияла обоснованность аргументов, которая оценивалась в баллах авторами статьи. Данные по работе со стандартными протоколами и протоколами, в которых использовались системы стратификации, заносились в отдельные графы. Затем сравнивали параметры в двух группах граф, что позволило определить, как введение в алгоритм обследования систем стратификации повлияло на выработку индивидуального подхода к лечению. Оценивалась не только персонализация выбора лечения пациента, но и персональная подготовка специалиста. Проводили сравнение результатов в двух группах опрашиваемых: эндокринологов и хирургов, и сравнительный анализ в отдельных группах нозологий, которые будут представлены в дальнейших публикациях.
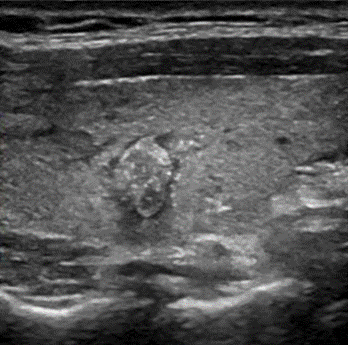
Исследование показало, что при работе со стандартными протоколами УЗИ значение «индекса согласия» между оценкой анкетируемых врачей и патоморфологическими диагнозами было велико (табл. 2). Это указывало на качественные компетенции специалистов. «Конфликт решения», когда эндокринологи и хирурги не смогли поставить по протоколу УЗИ предварительный диагноз, был лишь в 2 случаях (по 1 клиническому случаю сразу 4 врача (эндокринологи и хирурги) не смогли дать аргументированный ответ). Но один из вариантов теста УЗИ (папиллярный рак) не только был всеми врачами правильно диагностирован (рис. 1), но и при аргументации ответа получил свое обозначение как «лицо шута» (определение дал специалист – хирург: «плохое лицо» – плохой диагноз»).
Таблица 2
Показатели принятия решений специалистами без применения систем стратификации
|
Оцениваемый протокол |
Индекс согласия |
Индекс дефекта ответа |
Конфликт решения |
|
УЗИ |
89,58±4,72 |
1,67±0,72 |
0,42±0,56 |
|
Цитология |
84,17±6,11 |
2,75±0,79 |
0,58±0,68 |
|
Лечебная тактика |
87,92±3,06 |
3,83±0,86 |
1,00±0,83 |
Составлено авторами на основе полученных данных в ходе исследования.

Рис. 1. УЗИ. Продольный скан, В-режим. Неоднородный изоэхогенный узел размером 7х9 мм с нечетким, неровным контуром, с множественными микрокальцификатами, «высота>ширины». ТИРАДС 5. Комментарий хирурга: «лицо шута - это зло». Цитологическое исследование: Bethesda 6. Морфологическое исследование операционного препарата – папиллярный рак щитовидной железы
Составлено авторами на основе полученных данных в ходе исследования.
Дальнейшее изучение ответов специалистов показало, что «индекс согласия» был ниже, а «индекс дефекта ответа» выше при ответах на протоколы врачей-цитологов. При работе с цитологическими протоколами уже 4 опрашиваемых врача не смогли дать ответ с аргументацией («конфликт решения»). Таким образом, число расхождений при оценке цитологических заключений было более значительным. Наибольшее число расхождений было связано с описанием «наличия в препаратах лимфоцитов и В-клеток (клеток Ашкенази, Гюртле)», а также оценкой «дисплазии и клеточной перестройки». При описании цитологического заключения врачи-цитологи часто использовали термин «лимфоидная инфильтрация». Это сильно повлияло не только на значение «индекса согласия» при постановке диагноза, но и при выборе лечебной тактики.
При выборе лечебной тактики ошибки делали и хирурги, и эндокринологи. На «персональные данные» пациентов наслаивались персональные мнения специалистов. Эндокринологи больше склонялись к наблюдению за пациентами, а хирурги предпочитали радикальные методы лечения. «Индекс дефекта ответа» был выше у эндокринологов, так же как и разнообразие ответов. Мнения хирургов были более консолидированными, не только при правильных, но и при ошибочных решениях. Видимо, необходимо в Клинических рекомендациях более четко прописывать рекомендации по хирургическому лечению.
Расширение объема информации за счет использования различных систем стратификации существенно повлияло на компетенции специалистов. Это показали результаты изучения ответов специалиста, включенных в исследование (табл. 3), в частности ни один из опрашиваемых не отказался от предложения лечебной тактики, которая не всегда соответствовала Клиническим рекомендациям. На этапе «лечебная тактика» больше ошибок делали хирурги, настаивая на радикальности лечения. Данный аспект (различия ответов врачей разных специальностей) будет отражен в дальнейшем при оценке более широкой аудитории врачей разных специальностей.
Таблица 3
Показатели принятия решений специалистами при применении систем стратификации
|
Оцениваемый протокол |
Индекс согласия |
Индекс дефекта ответа |
Конфликт решения |
|
УЗИ |
95,00±3,33 |
1,00±0,67 |
0 |
|
Цитология |
92,08±3,75 |
1,42±0,65 |
0 |
|
Лечебная тактика |
93,33±3,33 |
2,67±1,33 |
0 |
Составлено авторами на основе полученных данных в ходе исследования.
Предварительные результаты расчетов показали, что при дополнении информации о результатах обследования «резюме» по системам ТИРАДС и Bethesda снижается число ошибочных и неопределенных ответов. Для установления статистической достоверности наблюдаемых различий был использован критерий знаковых рангов Вилкоксона.
Математический анализ показал, что существует высокая степень достоверности (p<0,01) снижения ошибочных и неопределенных решений при оценке данных различных диагностических обследований и при выборе тактики лечения с применением дополнительной информации, ранжируемой специалистами УЗИ и цитологами (системы ТИРАДС и Bethesda). Можно утверждать, что применение систем стратификации позитивно влияет на принятие решения специалистами (табл. 4). Различия в оценках специалистов (эндокринологов и хирургов) данных обследования коррелировались с правильным выбором лечебной тактики.
Таблица 4
Показатели эффективности работы специалистов при применении систем стратификации
|
Показатели |
Значения показателей |
|
||
|
УЗИ |
Цитология |
Лечебная тактика |
|
|
|
Статистическая значимость (р) |
0,007412 |
0,002934 |
0,003483 |
|
|
S-value |
7,076 |
8,413 |
8,1654 |
|
|
Effect Size (r) |
0,8926 |
0,8969 |
0,8809 |
|
|
Z |
2,6778 |
2,9746 |
2,9215 |
|
|
Ties Correction |
3,75 |
7,125 |
2,75 |
|
|
S.E |
8,2158 |
10,9259 |
11,1243 |
|
|
Среднее значение различий (x̄d) |
1,0833 |
1,9167 |
2,8333 |
|
|
Normality p-value |
0,01802 |
0,07448 |
0,002775 |
|
|
Skewness |
-0,611 |
0,1916 |
2,7673 |
|
|
Форма асимметрии |
Потенциально симметричный (pval =0,8) |
Потенциально симметричный (pval=0,764) |
Асимметричный, правый/положительный (pval=0) |
|
|
-1,2608 |
1,5861 |
8,6555 |
|
|
|
Форма эксцесса |
Потенциально мезокуртический, нормальные хвосты (pval=0,306) |
Потенциально мезокуртический, нормальные хвосты (pval=0,198) |
Лептокуртик, длинные тяжелые хвосты (pval=0) |
|
Составлено авторами на основе полученных данных в ходе исследования.
Время, затраченное врачом-специалистом на принятие решения, было индивидуальным. И, как показало дальнейшее исследование, в значительной степени определялось личностными особенностями врача, участвовавшего в исследовании. Применение систем стратификации повлияло на время принятия решения. На рисунке 2 представлено соотношение времени, затраченного на принятие решений в зависимости от представленной для анализа информации (без систем стратификации и с их включением в протоколы). Из рисунка 2 видно, что время на принятие решения при включении в протоколы данных систем стратификации сокращалось, как и при работе с заключениями УЗИ, так и биопсии.

Рис. 2. Время, затраченное специалистами на постановку диагноза в зависимости от применения систем стратификации
Составлено авторами на основе полученных данных в ходе исследования.
Заключение
Объем данных обследования, предоставляемых врачами различных специальностей, ставит перед врачом первичного звена сложную, а иногда неразрешимую задачу. Получая разностороннюю информацию, изложенную узкими специалистами, практикующий врач оказывается перед сложной задачей. Интерпретация результатов обследования в условиях ограничения времени ставит специалиста в тупик, когда диагноз не ясен, а необходимо еще выработать лечебную тактику. При возрастающем объеме информации одним из путей решения является применение экспертных систем и методов системного анализа. Выполненное ретроспективное исследование показало, что системы стратификации по риску рака ЩЖ являются одним из аппаратов уменьшения возможных врачебных ошибок, в первую очередь субъективных (некомпетентность и низкая квалификация врача, недостаточные знания, логические ошибки диагностики и др.). В то же время системы стратификации нельзя считать «истиной в последней инстанции». Окончательное решение о характере патологии и выборе лечебной тактики принимают эндокринолог и хирург самостоятельно. В последние годы получили развитие системы поддержки принятия клинических решений в хирургии щитовидной железы, использующие методы машинного обучения и анализ больших данных, формируемых на основе систем стратификации риска. Экспертные системы стратификации, являясь компонентом искусственного интеллекта (ИИ), начали широко внедряться в практику (например, встроенные программы в аппараты УЗИ для оценки изображений), чтобы повысить обоснованность решений специалистов. Их нельзя категорично отвергать, но нужно иметь в виду, что они не являются арбитром при принятии решения специалистом.
Вывод
Специалисты первичного звена (эндокринологи и хирурги) при работе с пациентами, имеющими узловую патологию щитовидной железы, должны учитывать системы стратификации ТИРАДС и Bethesda при принятии решений о диагнозе и выборе лечебной тактики.



