Введение
Морфометрические характеристики сонных артерий не перестают находиться в поле зрения исследователей. Такие анатомические параметры, как диаметр, толщина стенки, топографическая анатомия кровеносных сосудов, играют важную роль в патогенезе заболеваний и обуславливают профилактическую, терапевтическую и хирургическую стратегии ведения пациентов [1-3]. Между тем данные, касающиеся измерений сонных артерий, разрозненны, отрывочны [4-6].
В многолетних исследованиях Лелюк В.Г. с соавторами [7] вычисляли линейные размеры магистральных кровеносных сосудов шеи, используя метод прижизненного исследования для большой выборки (ультразвуковое исследование). В соответствии с этим было установлено, что значение диаметра а. carotis communis было равно 6,3 ± 0,9 мм.
В то же время имеются источники, демонстрирующие увеличение диаметра а. carotis communis по мере увеличения возраста обследуемого. Значения диаметра составляли: в группе обследуемых 40-49 лет – 6,65 ± 0,71 мм, в группе обследуемых старше 80 лет - 7,99 ± 1,04 мм. При этом у мужчин данный показатель отличался по сравнению с аналогичным у женщин (7,51 ± 1,03 и 7,16 ± 0,94 мм соответственно) [8].
Tan Q. с соавторами [9] получил закономерность, демонстрирующую, что наружный диаметр сонных артерий не подвергался изменениям с увеличением возраста обследуемых, но внутренний диаметр определялся как большая величина у обследованных после 55 лет.
Другая группа ученых также сообщает о большем диаметре сосудов у мужчин, данные получены как при дуплексном сканировании, компьютерной томографии, так и при измерении рентгеновских ангиограмм. Все авторы также отмечали, что кровеносные сосуды справа имели несколько больший диаметр [10-12].
На аутопсийном материале Panagouli E. с соавторами [13] также измеряли длину сонных артерий и пришли к заключению, что длина внутренней сонной артерии коррелировала с ростом тела и длиной туловища у обоих полов.
Средняя толщина комплекса интима-медиа по Chen Y.A. [14] при ультразвуковом исследовании составила 0,65±0,12 мм.
Цель исследования: изучить прижизненные морфометрические показатели общей сонной артерии (диаметр, длину сосуда и толщину стенки) в зависимости от пола, возраста и стороны шеи человека по данным ультразвукового исследования.
Материалы и методы исследования
Выполнено ультразвуковое исследование сонных артерий 130 пациентам ГАУЗ «Городская клиническая больница № 1» г. Оренбурга. Показаниями к ультразвуковому исследованию были подозрения на атеросклероз кровеносных сосудов шеи, которые не подтвердились.
Критерии включения в исследование: возраст 20-75 лет, мужчины и женщины, направленные на ультразвуковое исследование с подозрением на патологию в области шеи, которая не подтвердилась. Критерии невключения в исследование: возраст младше 20 и старше 75 лет, обнаруженная при ультразвуковом исследовании патология со стороны органов и кровеносных сосудов в области шеи. Протокол исследования одобрен на заседании Локального этического комитета ФГБОУ ВО «ОрГМУ» Минздрава России, протокол № 352 от 12 февраля 2025 года. Пациентам была предоставлена полная информация относительно проводимого исследования. Все пациенты подписали письменное информированное согласиена участие в исследовании. Все права обследованных были соблюдены. Исследование было проведено в соответствии с Федеральным законом «Об основах охраны здоровья граждан в Российской Федерации» от 21.11.2011 № 323-ФЗ, Федеральным законом «О персональных данных» от 27.07.2006 № 152-ФЗ (ред. от 21.07.2014, с изм. и доп., вступ. в силу с 01.09.2015) и Хельсинкской декларацией (Declaration of Helsinki), разработанной Всемирной медицинской ассоциацией «Этические принципы проведения научных медицинских исследований с участием человека» (1964 г., с 9 пересмотрами, последний из которых имел место в 2013 г.).
При распределении всех обследованных по возрастным группам была использована схема возрастной периодизации, принятая на Седьмой научной конференции по вопросам возрастной морфологии, физиологии и биохимии (Москва, 1965 г.). Согласно схеме, выделяются следующие возрастные периоды: первый период зрелого возраста (21-35 лет у мужчин и 20-35 лет у женщин), второй период зрелого возраста (36-60 лет у мужчин и 36-55 лет у женщин), пожилого возраста (61-75 лет у мужчин и 56-75 лет у женщин) [15].
В возрастную группу первого периода зрелого возраста вошло 35 наблюдений (51% – мужчины и 49% – женщины), в возрастную группу второго периода зрелого возраста вошло 52 наблюдения (57% – мужчины и 43% – женщины), в возрастную группу пожилого возраста вошло 43 наблюдения (28% – мужчины и 72% – женщины).
Исследования выполнены на стационарном ультразвуковом сканере Samsung Medison HS40-RUS, использовался линейный датчик L5-12/50 (5-12 МГц, апертура 50 мм). Толщина комплекса интима-медиа измерялась от передней поверхности интимы до задней поверхности медии стенки артерии, дальней от датчика. Измерение толщины комплекса интима-медиа проводилось на расстоянии 1 см проксимальнее бифуркации, в этом жесте измерялся диаметр общей сонной артерии. Измерения диаметра производились под углом 90 градусов к оси сосуда, диаметр сосудов определялся как внутрипросветный. В настоящем исследовании при измерении морфометрических параметров голова исследуемого человека была расположена прямо, без применения валика, чтобы не искажать естественного взаимоотношения органов. Визуализация сонных и позвоночных артерий выполнялась как в режиме серой шкалы, так и в режиме цветового доплеровского картирования по всей длине сосудов. В цветовом доплеровском режиме оценивалась однородность заполнения сосуда цветом, наличие или отсутствие дефектов наполнения.
Для более точного измерения длины общей сонной артерии авторами был предложен и использован в настоящем исследовании способ, защищенный патентом Российской Федерации [16]. Для более точного описания прижизненной анатомии и топографии кровеносных сосудов в области шеи, чтобы оценивать некоторые критерии оперативных доступов, создавать компьютерные модели, авторами был предложен и использован в настоящем исследовании способ, защищенный патентом Российской Федерации [17].
Статистическую обработку полученных результатов проводили с помощью компьютерной программы Statistica 10.0. Данные представлены в виде средней величины ± стандартная ошибка среднего. Оценку статистической значимости различий осуществляли методом по t-критерию Стьюдента. Статистически значимыми считали различия при P < 0,05.
Результаты исследования и их обсуждение
Исследование показало, что имеют место различия в морфометрии артерий шеи в зависимости от возраста и пола.
У мужчин 21-35 лет изученные морфометрические параметры a. carotis communis dextra составляли: длина 71,4±2,5 мм, диаметр 7,0±0,1 мм, толщина интима-медиа комплекса 0,55±0,05 мм. А. carotis communis sinistra: длина 69,8±1,6 мм, диаметр 6,9±0,1 мм, толщина комплекса интима-медиа 0,57±0,06 мм.
В возрастном аспекте у мужчин установлены следующие изменения морфометрических параметров a. carotis communis dextra et sinistra: с увеличением возраста наблюдалось уменьшение длины и увеличение диаметра и толщины интима-медиа комплекса. Так, у мужчин 36-60 лет длина a. carotis communis dextra составляла 68,3±3,6 мм, длина a. carotis communis sinistra 66,8±1,7 мм, что было меньше аналогичных показателей возрастной группы 21-35 лет. Значения диаметра исследованных артериальных стволов составляли: 7,1±0,1 мм справа и 7,1±0,2 мм слева. Толщина комплекса интима-медиа a. carotis communis dextra 0,75±0,04 мм, a. carotis communis sinistra 0,72±0,02 мм, что больше соответствующих показателей возрастной группы 21-35 лет.
Обнаруженная тенденция изменения морфометрических показателей сосудов шеи с возрастом сохранялась и у мужчин 61-75 лет. Длина артерий у мужчин этой возрастной группы составила: a. carotis communis dextra 62,5±1,3 мм, что статистически значимо меньше аналогичных показателей в возрастной группе 21-35 лет (71,4±2,5 мм, P < 0,05). Длина a. carotis communis sinistra 58,6±1,1 мм, что статистически значимо меньше аналогичных показателей в возрастной группе 21-35 лет (69,8±1,6 мм, P < 0,05). Диаметр a. carotis communis dextra et sinistra был равен 7,3±0,2 мм справа и 7,3±0,1 мм слева. Толщина интима-медиа a. carotis communis dextra составляла 0,87±0,06 мм, что статистически значимо больше соответствующих показателей возрастной группы 21-35 лет (0,55±0,05 мм, P < 0,05). Толщина интима-медиа a. carotis communis sinistra 0,81±0,03 мм, что статистически значимо больше соответствующих показателей возрастной группы 21-35 лет (0,57±0,06 мм, P < 0,05).
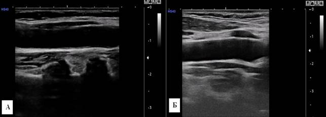
Аналогичные закономерности изменения количественных параметров артерий шеи в возрастном аспекте установлены и у женщин. Так, у женщин 20-35 лет размеры a. carotis communis dextra были равны: длина 68,9±1,7 мм, диаметр 6,3±0,1 мм, толщина комплекса интима-медиа 0,44±0,09 мм. А. carotis communis sinistra: длина 67,5±1,4 мм, диаметр 6,3±0,07 мм, толщина комплекса интима-медиа 0,45±0,10 мм (рис. 1).

Рис. 1. Сонограмма a. carotis communis dextra. А – мужчина, 30 лет; Б – женщина, 29 лет. У мужчины диаметр артерии больше.
Параметры комплекса интима-медиа без изменений
С увеличением возраста у женщин, так же как и у мужчин, наблюдается уменьшение длины и увеличение диаметра и толщины интима-медиа комплекса a. carotis communis dextra et sinistra.
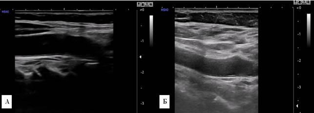
У женщин 36-55 лет длина a. сarotis communis dextra была равна 64,8±1,4 мм, длина a. carotis communis sinistra составляла 63,5±1,8 мм, что меньше аналогичных показателей у женщин 20-35 лет. Диаметр a. carotis communis dextra et sinistra был равен 6,6±0,08 мм справа и 6,7±0,02 мм слева, толщина интима-медиа a. carotis communis dextra составляла 0,67±0,02 мм, a. carotis communis sinistra 0,65±0,03 мм, что больше, чем соответствующие показатели в возрастной группе 20-35 лет (рис. 2).

Рис. 2. Сонограмма a. carotis communis dextra. А – мужчина, 37 лет; Б – женщина, 39 лет.
У мужчины диаметр артерии больше
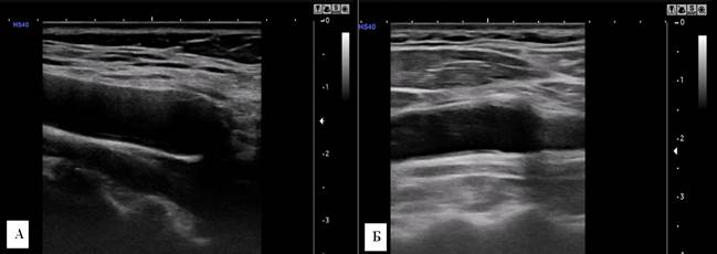
У женщин 56-75 лет длина a. carotis communis dextra по данным ультразвукового исследования составляла 57,9±2,7 мм, что было статистически значимо меньше (P < 0,05) аналогичных показателей группы 20–35 лет (68,9±1,7 мм). Длина a. carotis communis sinistra 56,5±1,5 мм, что было статистически значимо меньше (P < 0,05) аналогичных показателей возрастной группы 20–35 лет (67,5±1,4 мм). Значения диаметра артериальных стволов составляли 7,3±0,07 мм справа и 7,0±0,07 мм слева, что статистически значимо больше (P < 0,05), показателей у женщин 20–35 лет (6,3±0,1 мм справа и 6,3±0,07 мм слева). Толщина комплекса интима-медиа a. carotis communis dextra 0,78±0,05 мм, что статистически значимо больше (P < 0,05) показателя у женщин 20–35 лет (0,44±0,09 мм). Толщина комплекса интима-медиа a. carotis communis sinistra 0,79±0,04 мм, что статистически значимо больше (P < 0,05) соответствующих показателей у женщин 20–35 лет (0,45±0,10 мм). Некоторые результаты представлены на рисунке 3.

Рис. 3. Сонограмма a. carotis communis sinistra. А – мужчина, 65 лет; Б – женщина, 68 лет. У мужчины толщина комплекса интима-медиа больше
Сравнение морфометрических показателей артериальных стволов шеи у представителей разного пола выявило, что все изученные с помощью ультразвукового исследования размеры a. carotis communis dextra et sinistra во всех возрастных группах были статистически значимо больше у мужчин, чем у женщин (P < 0,05), что согласуется с данными литературы.
Заключение
Если говорить о подведении итогов проделанной работы, то следует сказать, что длина a. carotis communis dextra и a. carotis communis sinistraимеет наибольшее значение у представителей первого периода зрелого возраста. В то же времязначения диаметраa. carotis communis dextra и a. carotis communis sinistra, а также величины интима-медиа упредставителей первого периода зрелого возраста имеют минимальные значения. В следующих представленных старших возрастных группах происходит увеличение значений диаметраa. carotis communis dextra и a. carotis communis sinistra, в том числе параметров интима-медиа, изменяющихся в большую сторону с увеличением возраста. В то же время среднее значение длины a. carotis communis dextra и a. carotis communis sinistra уменьшается с возрастом, показывая в итоге наименьшие значения у пожилых мужчин и женщин.
Средние значения морфометрических параметров a. carotis communis dextra и a. carotis communis sinistra были больше у мужчин (P < 0, 05) по сравнению с женщинами (и справа, и слева в области шеи). Описанная в статье тенденция сохранялась в возрастном аспекте и в зрелом, и пожилом возрасте. Полученная количественная характеристика магистральных кровеносных сосудов шеи по данным ультразвукового исследования позволяет выявить некоторые особенности прижизненной возрастной анатомии и важна для клинической диагностики и ангиохирургии.
Библиографическая ссылка
Дронов Е.В., Фатеев И.Н., Урбанский А.К. ПОКАЗАТЕЛИ ПРИЖИЗНЕННОЙ МОРФОМЕТРИИ ОБЩЕЙ СОННОЙ АРТЕРИИ ЧЕЛОВЕКА ПО ДАННЫМ УЛЬТРАЗВУКОВОГО ИССЛЕДОВАНИЯ // Современные проблемы науки и образования. 2025. № 4. ;URL: https://science-education.ru/en/article/view?id=34229 (дата обращения: 21.04.2026).
DOI: https://doi.org/10.17513/spno.34229



